Radiation Oncology/Mesothelioma/Overview
|
Mesothelioma Overview
Epidemiology
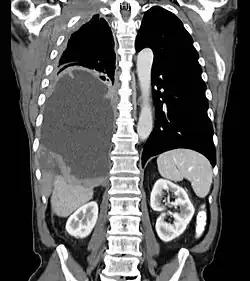
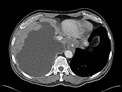
- Malignant Mesothelioma
-
-
- 3000 patients diagnosed yearly.
- 70-80% related to asbestos exposure
- Not related specifically to smoking; however, smoking + asbestos dramatically increase risk
- M>F
- Peak incidence in 5th to 7th decade.
- 96% occurs after 20+ years latency period after asbestos exposure
Pathology
- Sarcomatous
- Epithelial (best prognosis of 3 subtypes)
- Mixed
Prognostic Factors
CALGB Prognostic Index - Based on a trial of 337 patients treated for malignant mesothelioma in 7 phase II CALGB trials.
- Pleural Involvement
- LDH>500 IU/L
- Poor KPS
- Non-epithelial histology
- Age>75
Resectable disease
- Surgical resection possible in minority of patients
- Trimodality therapy is treatment of choice for non-metastatic mesothelioma
- Extrapleural pneumonectomy is surgical procedure of choice: Removes ipsilateral lung, parietal pleura, pericardium, diaphragm and mediastinal nodal dissection with reconstruction of the diaphragm.
- Adjuvant radiotherapy includes hemithorax irradiation
- ~10% patients fail at biopsy tract, but prophylactic tract RT is probably not beneficial
Prophylactic RT After Biopsy
- Glasgow, 2007 (1998-2004) PMID 17588698 -- "A randomised controlled trial of intervention site radiotherapy in malignant pleural mesothelioma." (O'Rourke N, Radiother Oncol. 2007 Jul;84(1):18-22.)
- Randomized. 61 patients. Chest drain or pleural biopsy + RT 21/3 vs. observation
- Tract mets: RT arm 13% vs. supportive care 10% (NS)
- Conclusion: Prophylactic drain site RT does not reduce tumor seeding
- Marseille, France, 1995 PMID 7656629 -- "Prevention of malignant seeding after invasive diagnostic procedures in patients with pleural mesothelioma. A randomized trial of local radiotherapy." (Boutin C, Chest. 1995 Sep;108(3):754-8.)
- 40 pts w/ histologically proven malignant mesothelioma. Xrt arm received 7 Gy in 3 fractions to the thoracic wall via electrons. Xrt was 10-15 days after thoroscopy.
- 40% in the observation arm developed metastases at the entry tract. None of the patients in the xrt arm developed entry tract mets.
Trimodality Therapy
- EORTC 08031, 2011 (2005-2007) PMID 20525721. Van Schil PE, et al. "Trimodality therapy for malignant pleural mesothelioma: results from an EORTC phase II multicentre trial," European Respiratory Journal. 2010 Dec;36(6):1362-9.
- 57pts tx'd from 2005-2007 with induction cisplatin (75mg/m2) + pemetrexed (500mg/m2) for three cycles followed by extrapleural pneumonectomy (42pts) followed by hemithorax RT to 54Gy in 30fx (37pts completed RT).
- Local recurrence occurred in 16% of patients completing all trimodality therapy. Median OS was 18.4 months.
- MSKCC, 2001 (1995-1998) PMID 11581615. Rusch, V. et al. "A phase II trial of surgical resection and adjuvant high-dose hemithoracic radiation for malignant pleural mesothelioma," Journal of Thoracic Cardiovascular Surgery. 2001 Oct;122(4):788-95
- 88 patients tx'd from 1995-1998 with 54 Gy hemithoracic xrt after complete resection. 70% extrapleural pneumonectomies.
- Xrt reduced local recurrence; pts treated w/ extrapleural pneumonectomy w/ adjuvant chemoxrt failed at distant sites.
- Harvard, 1999 PMID 9869758. Sugarbaker, D. et al. "Resection margins, extrapleural nodal status, and cell type determine postoperative long-term survival in trimodality therapy of malignant pleural mesothelioma," Journal of Thoracic Cardiovascular Sugery. 1999 Jan;117(1):54-63
- 183 patients, resectable mesothelioma with KPS>70. Patients treated with extrapleural pneumonectomy, adjuvant chemoxrt (30 Gy in 1.5 Gy fx to hemithorax w/ boost to 50.4 Gy, concurrent taxol), adjuvant taxol.
- Peri-operative mortality 3.8%, subgroup w/ extended survival were epithelial type, negative extrapleural nodes, negative margins. 5 yr OS 46% w/ all 3 positive prognostic factors.
- MSKCC, 1982 (1939-1981) PMID 7144218. McCormack, P. et al. "Surgical treatment of pleural mesothelioma." Journal of Thoracic Cardiovascular Surgery. 1982 Dec;84(6):834-42
- 170 pts at MSKCC tx'd from 1939 to 1981 for pleural mesothelioma. Variation in tx regimens, but after 1972, pts tx'd w/ pleurectomy (w/o lung resection) w/ adjuvant ext beam xrt or brachy. Median survival for surg + xrt cohort was 21 months w/ better local control than surg alone.
- Conclusion: multi-modality approach including surgery, xrt and chemo led to better overall survival.
Intensity Modulated Radiation Therapy
Early studies showed improved local control over historical controls. Recent publication from BWH shows a significant mortality from radiation induced pneumonitis when fail to use more stringent dose constraints.
- MD Anderson (2000-2005)
- 2007 PMID 17954086 -- "Outcomes after extrapleural pneumonectomy and intensity-modulated radiation therapy for malignant pleural mesothelioma." (Rice DC, Ann Thorac Surg. 2007 Nov;84(5):1685-92; discussion 1692-3.)
- Retrospective. 100 patients, who underwent extrapleural pneumonectomy. 63 IMRT (median 45 Gy). Right side 66%, left side 34%. Stage I 6%, Stage II 7%, Stage III 72%, Stage IV 15%; 54% ipsilateral LN+. Perioperative mortality 8%
- Outcome: median OS 10.2 months; if IMRT 14.2 months; if LN- and epithelioid 28 months. Recurrence LR 13%, DM 54%
- Conclusion: IMRT excellent local control, need systemic therapy
- 2007 PMID 17467922 -- "Dose-dependent pulmonary toxicity after postoperative intensity-modulated radiotherapy for malignant pleural mesothelioma." (Rice DC, Int J Radiat Oncol Biol Phys. 2007 Oct 1;69(2):350-7. Epub 2007 Apr 30.)
- Retrospective. 63 patients treated with IMRT after extrapleural pneumonectomy. Dose 45-50 Gy
- Outcome: 37% died within 6 months (43% recurrence, 17% pneumonia, 9% pneumonitis, 31% non-cancer and non-pulmonary causes)
- Predictors of pulmonary-related death: only contralateral V20. If >7%, 42X risk of death. Also, if absolute lung volume receiving 10 Gy >1200 cm3 and 5 Gy >300 cm3 had better outcome
- Conclusion: Fatal pulmonary toxicity (9%) associated with V20
- 2007 PMID 17954086 -- "Outcomes after extrapleural pneumonectomy and intensity-modulated radiation therapy for malignant pleural mesothelioma." (Rice DC, Ann Thorac Surg. 2007 Nov;84(5):1685-92; discussion 1692-3.)
- Harvard, 2006 PMID 16751058. Allen, AM. et al. "Fatal pneumonitis associated with intensity-modulated radiation therapy for mesothelioma," Int J Radiat Oncol, Biol, Phys. 2006 Jul 1;65(3):640-5.
- Pts treated to 54 Gy in 1.8 Gy fractions. Contralateral lung limited to V20 of 20%. 6 of 13 patients developed fatal radiation pneumonitis.
- Conclusion: metrics such as V5 and MLD should be used in addition to V20 to determine patient tolerance to xrt.
Unresectable disease
- One randomized trial suggests that chemotherapy (MVP) may not be superior to active symptomatic control alone; there may be benefit to vinorelbine alone
- Two randomized trials suggest that cisplatin + antifolate (pemetrexed or raltitrexed) should be used over cisplatin alone
- The role of cisplatin itself is not clear, but it has been used historically
- British MS01 (2001 - 2006) - Active Symptom Control vs. ACS + MVP vs. ACS + vinorelbine
- Randomized, 3 arms. 409 patients with malignant pleural mesothelioma. Arm 1) Active symptom control (steroids, analgesics, bronchodilators, palliative RT) vs. Arm 2) ASC + MVP (mitomycin 6 mg/m2, vinblastine 6mg/m2, cisplatin 50mg/m2) vs. Arm 3) ASC + vinorelbine 20 mg/m2
- 2008 PMID 18486741 -- "Active symptom control with or without chemotherapy in the treatment of patients with malignant pleural mesothelioma (MS01): a multicentre randomised trial." (Muers MF, Lancet. 2008 May 17;371(9625):1685-94.)
- Outcome: median OS ASC 7.6 months vs. ASC + chemo 8.5 months (NS); subset trend benefit for vinorelbine 9.5 months (p=0.08)
- Toxicity: No difference
- Conclusion: Addition of MVP or vinorelbine to active symptom control offered no significant benefit
- EORTC-NCIC 08983 (2000-2003) - Cisplatin vs. Cisplatin + Raltitrexed
- Randomized. 250 patients with advanced malignant pleural mesothelioma. Arm 1) cisplatin 80 mg/m2 vs. Arm 2) cisplatin 80 mg/m2 + raltitrexed 3 mg/m2
- 2005 PMID 16192580 -- "Randomized phase III study of cisplatin with or without raltitrexed in patients with malignant pleural mesothelioma: an intergroup study of the European Organisation for Research and Treatment of Cancer Lung Cancer Group and the National Cancer Institute of Canada." (van Meerbeeck JP, J Clin Oncol. 2005 Oct 1;23(28):6881-9.)
- Outcome: median OS cisplatin 9 months vs. cisplatin + raltitrexed 11 months (SS); 1-year OS 40% vs. 46% (SS)
- Conclusion: Raltitrexed and cisplatin improves survival compared with cisplatin alone
- Pemetrexed Trial (1999-2001) - Cisplatin vs. Cisplatin + Pemetrexed
- Randomized. 456 patients with chemo-naive and inoperable mesothelioma. Arm 1) cisplatin 75 mg/m2 vs. Arm 2 cisplatin 75 mg/m2 + pemetrexed 500 mg/m2
- 2003 PMID 12860938 -- "Phase III study of pemetrexed in combination with cisplatin versus cisplatin alone in patients with malignant pleural mesothelioma." (Vogelzang NJ, J Clin Oncol. 2003 Jul 15;21(14):2636-44.)
- Outcome: median OS cisplatin 9 months vs cisplatin/pemetrexed 12 months (SS); time-to-progression 3.9 months vs. 5.7 months (SS)
- Conclusion: Pemetrexed + cisplatin + vitamin supplements resulted in superior outcome compared with cisplatin alone
- Randomized. 456 patients with chemo-naive and inoperable mesothelioma. Arm 1) cisplatin 75 mg/m2 vs. Arm 2 cisplatin 75 mg/m2 + pemetrexed 500 mg/m2