Cardiac ventriculography

Cardiac ventriculography
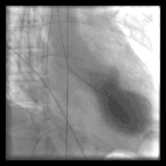
Left ventriculography during systole showing apical ballooning akinesis with basal hyperkinesis in a patient with takotsubo cardiomyopathy.
Purposetest cardiac function in the right, or left ventricle.

Cardiac ventriculography is a medical imaging test used to determine a person's heart function in the right, or left ventricle.[1] Cardiac ventriculography involves injecting contrast media into the heart's ventricle(s) to measure the volume of blood pumped. Cardiac ventriculography can be performed with a radionuclide in radionuclide ventriculography or with an iodine-based contrast in cardiac chamber catheterization.

The 3 major measurements obtained by cardiac ventriculography are:

  1. Ejection Fraction
  2. Stroke Volume
  3. Cardiac Output

These three measurements share a commonality of ratios between end systolic volume and end diastolic volume and all lend mathematical structure to the common medical term systole.

Radionuclide ventriculography

Radionuclide ventriculography is a form of nuclear imaging, where a gamma camera is used to create an image following injection of radioactive material, usually Technetium-99m (99mTc).

References

  1. ^ Moscucci, Mauro (2013). Grossman & Baim's Cardiac Catheterization, Angiography, and Intervention. Lippincott Williams & Wilkins. ISBN 9781469830469. Retrieved 2 September 2018.Google books no page number

Further reading