Lymphoepithelioma-like carcinoma

Lymphoepithelioma-like carcinoma
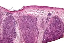
Low magnification micrograph of a lymphoepithelioma-like carcinoma showing the characteristic squamoid nests in association with clusters of lymphocytes. H&E stain.
SpecialtyOncology

Lymphoepithelioma-like carcinoma (LELC) is a medical term referring to a histological variant of malignant tumor arising from the uncontrolled mitosis of transformed cells originating in epithelial tissue (or in cells that display epithelial characteristics) that bear microscopic resemblance to lymphoepithelioma (nasopharyngeal carcinoma).

There is considerable variation in the classification of LELC—while it is perhaps most commonly considered a subtype of squamous cell carcinoma, it can also be classified as a form of large cell carcinoma (i.e. when occurring in the lung),[1] and can be considered as a separate, unique entity.[2]

In most anatomical sites, many cases are associated with the Epstein–Barr virus.[3]

In the breast, the macroscopic, microscopic, epidemiologic, and prognostic features of LELC are very similar to medullary carcinoma; EBV status is one differentiator.[4]

See also

References

  1. ^ Travis, William D; Brambilla, Elisabeth; Muller-Hermelink, H Konrad; et al., eds. (2004). Pathology and Genetics of Tumours of the Lung, Pleura, Thymus and Heart (PDF). World Health Organization Classification of Tumours. Lyon: IARC Press. ISBN 92-832-2418-3. Archived from the original (PDF) on 23 August 2009. Retrieved 27 March 2010.
  2. ^ Skinner, NE.; Horowitz, RI.; Majmudar, B. (Oct 2000). "Lymphoepithelioma-like carcinoma of the uterine cervix". South Med J. 93 (10): 1024–7. doi:10.1097/00007611-200010000-00017. PMID 11147469. S2CID 30613068.
  3. ^ Mayer, EK.; Beckley, I.; Winkler, MH. (Mar 2007). "Lymphoepithelioma-like carcinoma of the urinary bladder—diagnostic and clinical implications". Nat Clin Pract Urol. 4 (3): 167–71. doi:10.1038/ncpuro0725. PMID 17347662. S2CID 1506647.
  4. ^ Lespagnard, L.; Cochaux, P.; Larsimont, D.; Degeyter, M.; Velu, T.; Heimann, R. (Apr 1995). "Absence of Epstein–Barr virus in medullary carcinoma of the breast as demonstrated by immunophenotyping, in situ hybridization and polymerase chain reaction". American Journal of Clinical Pathology. 103 (4): 449–52. doi:10.1093/ajcp/103.4.449. PMID 7726142.