Malignant pilomatricoma

Malignant pilomatricoma
Other namesPilomatrical carcinoma,[1] and Pilomatrix carcinoma
SpecialtyOncology, dermatology Edit this on Wikidata

Malignant pilomatricoma is a cutaneous condition characterized by a locally aggressive tumor composed of hair-matrix cells.[2]: 671 [3]

Signs and symptoms

Malignant pilomatricoma usually manifests as a single firm, painless, movable, asymptomatic dermal or subcutaneous lump. It has been shown that the underlying skin can become ulcerated and exhibit severe discoloration; the latter is thought to be one of the few significant indicators of cancer.[4] The head, neck, and back are frequent locations of occurrence. Their sizes range from 1 to 10 cm.[5]

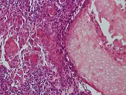
Diagnosis

Grossly, removed tumors frequently have a grayish appearance, are cystoid, encapsulated, and have viscous fluids.[6][7] Histologically, there is an abrupt shift to eosinophilic ghost or shadow cells (anucleate matrical corneocytes), which are characterized by a prominent proliferation of basaloid cells with ample transparent cytoplasm.[8] Seldom do basaloid cells palisade or contain melanin; instead, they aggregate into nests, bands, and amorphous sheets.[7][9] There are calcification and ulceration scattered across the cell types.[10][11] The basaloid cells' nuclei exhibit pleomorphism, frequent aberrant mitoses, and a high apoptotic index.[6][8][12] The diagnosis is strongly supported by ulceration and infiltration into adnexal structures; some reports even establish a correlation between these findings and the degree of malignancy.[13] Usually, a lymphohistiocytic infiltration and dense desmoplastic stroma are found next to the tumor capsule.[7][8]

Treatment

Malignant pilomatricoma is a low grade malignant tumor that is locally aggressive. Therefore, sufficient surgical clearance is necessary to stop localized recurrence.[14]

Outlook

The initial treatment strategy and the diagnosis of the suspicious lesion are the primary factors influencing the overall outcome in malignant pilomatricoma. Lesions that were treated with simple excision resurfaced locally in 50–83 percent of instances, but lesions that were broadly excised returned in 18–23 percent of patients. In 10 to 16 percent of patients, there were metastases, which usually damaged pulmonary or lymphatic organs. Seven to nine percent of patients reported a death related to malignant pilomatricoma, either directly or indirectly.[4]

Epidemiology

As of 2022 about 130 cases have been reported in English literature.[15]

See also

References

  1. ^ Rapini, Ronald P.; Bolognia, Jean L.; Jorizzo, Joseph L. (2007). Dermatology: 2-Volume Set. St. Louis: Mosby. ISBN 978-1-4160-2999-1.
  2. ^ James, William D.; Berger, Timothy G.; et al. (2006). Andrews' Diseases of the Skin: Clinical Dermatology. Saunders Elsevier. ISBN 0-7216-2921-0.
  3. ^ Aherne NJ, Fitzpatrick DA, Gibbons D, Armstrong JG (2008). "Pilomatrix carcinoma presenting as an extra axial mass: clinicopathological features". Diagn Pathol. 3: 47. doi:10.1186/1746-1596-3-47. PMC 2633279. PMID 19040752.
  4. ^ a b White, Christopher; Farsi, Maheera; Esguerra, David; Miller, Richard (2020). "Not Your Average Skin Cancer: A Rare Case of Pilomatrix Carcinoma". The Journal of Clinical and Aesthetic Dermatology. 13 (6). Matrix Medical Communications: 40–42. PMC 7442310. PMID 32884618.
  5. ^ P, Sau; GP, Lupton; JH, Graham (1993). "Pilomatrix carcinoma". Cancer. 71 (8): 2491–2498. doi:10.1002/1097-0142(19930415)71:8<2491::aid-cncr2820710811>3.0.co;2-i. ISSN 0008-543X. PMID 8453573.
  6. ^ a b Bassarova, Assia; Nesland, Jahn M.; Sedloev, Theophil; Danielsen, Håvard; Christova, Svetlana (2004-03-08). "Pilomatrix carcinoma with lymph node metastases". Journal of Cutaneous Pathology. 31 (4). Wiley: 330–335. doi:10.1111/j.0303-6987.2004.0178.x. ISSN 0303-6987. PMID 15005691. S2CID 37546550.
  7. ^ a b c Hardisson, David; Linares, M. Dolores; Cuevas-Santos, Jesús; Contreras, Félix (2001). "Pilomatrix Carcinoma: A Clinicopathologic Study of Six Cases and Review of the Literature". The American Journal of Dermatopathology. 23 (5). Ovid Technologies (Wolters Kluwer Health): 394–401. doi:10.1097/00000372-200110000-00002. ISSN 0193-1091. PMID 11801770. S2CID 20213287.
  8. ^ a b c Herrmann, Jennifer L.; Allan, Adam; Trapp, Kara M.; Morgan, Michael B. (2014). "Pilomatrix carcinoma: 13 new cases and review of the literature with emphasis on predictors of metastasis". Journal of the American Academy of Dermatology. 71 (1). Elsevier BV: 38–43.e2. doi:10.1016/j.jaad.2014.02.042. ISSN 0190-9622. PMID 24739254.
  9. ^ Otero, Mario N.; Trujillo, Carolina P.; Parra-Medina, Rafael; Morales, Samuel D. (2017). "Metastatic Malignant Pilomatrixoma in an 8-Year-Old Girl Misdiagnosed as a Recurrent Pilomatrixoma". The American Journal of Dermatopathology. 39 (3). Ovid Technologies (Wolters Kluwer Health): e41 – e43. doi:10.1097/dad.0000000000000736. ISSN 0193-1091. PMID 27673386. S2CID 31624894.
  10. ^ Melancon, Jeffrey M.; Tom, Wynnis L.; Lee, Robert A.; Jackson, Michelle; Brian Jiang, Shang I. (2011). "Management of Pilomatrix Carcinoma: A Case Report of Successful Treatment with Mohs Micrographic Surgery and Review of the Literature". Dermatologic Surgery. 37 (12). Ovid Technologies (Wolters Kluwer Health): 1798–1805. doi:10.1111/j.1524-4725.2011.02170.x. ISSN 1076-0512. PMID 22093235. S2CID 34659885.
  11. ^ Lazar, Alexander J. F.; Calonje, Eduardo; Grayson, Wayne; Dei Tos, Angelo P.; Mihm, Martin C.; Redston, Mark; McKee, Phillip H. (2004-12-15). "Pilomatrix carcinomas contain mutations in CTNNB1, the gene encoding β-catenin". Journal of Cutaneous Pathology. 32 (2). Wiley: 148–157. doi:10.1111/j.0303-6987.2005.00267.x. ISSN 0303-6987. PMID 15606674. S2CID 84712278.
  12. ^ Cornejo, Kristine M.; Deng, April (2013). "Pilomatrix Carcinoma". The American Journal of Dermatopathology. 35 (3). Ovid Technologies (Wolters Kluwer Health): 389–394. doi:10.1097/dad.0b013e318274b7da. ISSN 0193-1091. PMID 23221469.
  13. ^ Karaaslan, Onder; Can, Murat Melih; Silistreli, Ayse Ozlem Karatas; Bedir, Yagmur Kaan; Caliskan, Gorkem (2012). "Malignant Pilomatrixoma Arising on the Previously Irradiated Face: Case Report and Literature Review". Journal of Cutaneous Medicine and Surgery. 16 (5). SAGE Publications: 341–343. doi:10.1177/120347541201600511. ISSN 1203-4754. PMID 22971309. S2CID 39266289.
  14. ^ Flynn, Anita (2017). "Malignant Pilomatricoma: A Report of Two Cases and Review of Literature". Journal of Clinical and Diagnostic Research. 11 (7). JCDR Research and Publications: ED27 – ED28. doi:10.7860/jcdr/2017/27589.10260. ISSN 2249-782X. PMC 5583836. PMID 28892916.
  15. ^ Subramanyam, Chaitra; Dyrek, Paige; Yao, Xu; Kay, Martin H (2022-02-06). "Malignant Pilomatricoma of the Lower Extremity: A Difficult and Rare Diagnosis". Cureus. Springer Science and Business Media LLC. doi:10.7759/cureus.21957. ISSN 2168-8184. PMC 8903812. PMID 35282549.

Further reading

  • NISHIOKA, Megumi; TANEMURA, Atsushi; YAMANAKA, Takashi; TANI, Mamori; MIURA, Hiroyuki; ASAKURA, Makiko; TAMAI, Nobuyuki; KATAYAMA, Ichiro (2010-07-22). "Pilomatrix carcinoma arising from pilomatricoma after 10-year senescent period: Immunohistochemical analysis". The Journal of Dermatology. 37 (8). Wiley: 735–739. doi:10.1111/j.1346-8138.2010.00887.x. ISSN 0385-2407. PMID 20649718. S2CID 12113484.
  • Aherne, NJ; Fitzpatrick, DA; Gibbons, D; Collins, CD; Armstrong, JG (2009). "Recurrent malignant pilomatrixoma invading the cranial cavity: Improved local control with adjuvant radiation". Journal of Medical Imaging and Radiation Oncology. 53 (1). Wiley: 139–141. doi:10.1111/j.1754-9485.2009.02049.x. ISSN 1754-9477. PMID 19453540. S2CID 26386969.