Mercury granuloma

Mercury granuloma
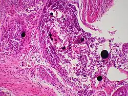
Cutaneous mercury granuloma is a rare disorder caused by the introduction of elemental Hg into skin.
SpecialtyDermatology

Mercury granulomas is the result of mercury exposure, a skin condition characterized by foreign-body giant cell reaction.[1]: 46 

See also

References

  1. ^ James, William D.; Berger, Timothy G.; et al. (2006). Andrews' Diseases of the Skin: clinical Dermatology. Saunders Elsevier. ISBN 978-0-7216-2921-6.