Nerve decompression

A nerve decompression is a neurosurgical procedure to relieve chronic, direct pressure on a nerve to treat nerve entrapment, a pain syndrome characterized by severe chronic pain and muscle weakness. In this way a nerve decompression targets the underlying pathophysiology of the syndrome and is considered a first-line surgical treatment option for peripheral nerve pain.[1] Despite treating the underlying cause of the disease, the symptoms may not be fully reversible as delays in diagnosis can allow permanent damage to occur to the nerve and surrounding microvasculature. Traditionally only nerves accessible with open surgery have been good candidates, however innovations in laparoscopy and nerve-sparing techniques made nearly all nerves in the body good candidates, as surgical access is no longer a barrier.

Surgical planning

Surgical planning is distinct from diagnosis of entrapment. Diagnosis will focus on a binary decision: does the patient have entrapment or not? A diagnosis may not be enough information for surgery on its own as the area to explore may be too large. Surgical planning seeks to localize the specific area of entrapment to improve surgical outcomes. Identifying the level of entrapment is an important consideration for surgery as decompressing the wrong area will lead to a failed surgery (e.g. performing back surgery for extra-spinal sciatica),[2][3] failure to treat nerve entrapment early can lead to permanent nerve injury,[4] and the patient may be unnecessarily exposed to surgical complications.

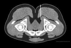
Diagnostic blocks

Illustration of a CT image-guided injection of the pudendal nerve at the pudendal canal

Diagnostic nerve blocks can confirm the clinical diagnosis for chronic pain as well as identify the entrapment site.[5] A diagnostic block is like an inverted palpation in the sense that palpation will cause a sensory nerve to send a signal (action potential) and a block will prevent a sensory nerve from sending a signal. By blocking nerve signals, the pain-contributing nerves can be identified or ruled out. Nerves are predisposed to entrapment in certain anatomical regions such as in an osteofibrous tunnels, through a muscle, adjacent to fibrous tissue.[6] Consequently, knowledge of these anatomical regions as well as peripheral nerve anatomy is an essential component to planning successful diagnostic blocks.[5] Ultrasound is a common form of image-guidance to place the needle properly, but it faces limitations visualizing small and deep nerves.[7] CT- or MRI- guidance are better positioned to access deep nerves as well as identify the anatomic level of the needle.[7]

Imaging

MRI may be used to identify certain causes of entrapment such as a structural lesions pressing on a nearby nerve, but is prone to false negatives/positives and has poor correlation with the clinical examination.[8] A major limitation with MRI is that nerve tissue is resistant to imaging. An advancement of MRI that takes advantage of the tissue properties of nerves, called MR neurography (MRN), provides more detail. MR tractography (MRT) can also be of use in surgical planning as it can identify peripheral nerve abnormalities with a high correlation to intraoperative findings and has higher accuracy than MR neurography alone.[9] MRT uses diffusion tensor imaging to visualize the directional movement of water molecules along nerve tracts. Often an abnormality can be identified along tracts of nerve where water is not diffusing normally along the axis. MRT has been used to identify sacral nerve entrapment by the piriformis muscle, which would otherwise only be diagnosable with exploratory surgery.[10]

List of surgeries

A non-exhaustive list of nerve decompression surgeries includes

Surgical outcomes

Nerve decompressions are still a relatively new surgery, however a picture emerges from looking at the outcomes of some of the most studied nerve decompressions: carpal tunnel release, sciatic nerve decompression, and migraine surgery. Even within these commonly performed surgeries, the measurement of outcomes is not always standardized. Common ways of measuring outcomes are syndrome-specific disability questionnaires (e.g. Boston Carpal Tunnel Questionnaire,[20] Oswestry low back disability questionnaire,[21] and the migraine disability assessment[22]); visual analog scale (VAS);[23] physical examination findings;[24] and subjective patient satisfaction.[25]

Carpal tunnel release

Carpal tunnel surgery has a clinical success rate of 75-90%.[26] Success is most frequently measured with the Boston Carpal Tunnel Questionnaire, physical examination (sensory function, motor function, pain, electrodiagnostic, trophic function), and patient self-assessments. One study found that while 86% of patients improved, only 26% had complete recovery of clinical and electrodiagnostic findings. Of the functional assessments, pain showed the greatest improvements following surgery.[27] Another study compared carpal tunnel syndrome patients who elected surgery with those who chose not to. 77% of the surgery group said they were cured compared to 16% who did not elect surgery.[28] While some of the success of surgery may just be due to the natural history of the disease, the surgery groups still have an improvement in outcomes over conservative measures. A systematic review found that surgical treatment outweighed the benefits over conservative treatment overall all outcome measures, however conservative treatment caused fewer complications.[29]

Sciatic nerve decompression

A systematic review has found that 90% of surgery patients see improved pain scores with scores improving on average from 6.7 preoperatively to 2.1 postoperatively.[15] In the literature, the most common outcome measurement for sciatic nerve decompressions is the visual analog scale, where patients rate their pain on a 100mm horizontal line that gets converted into a numeric score from 0-10 or 0–100. The main disability questionnaires used are the modified Harris Hip score (mHHS) and the Oswestry low back disability questionnaire. One study found that all deep gluteal syndrome surgery patients who were taking narcotics for pre-operative pain (n = 21) no longer needed narcotics for the initial complaint after decompression surgery.[30]

Migraine surgery

A systematic review has found that the improvement is seen in 68-100% of surgery patients and complete migraine elimination is seen in 8-86% of surgery patients.[13] The outcomes are usually measured in migraine intensity, frequency, and duration (an early measurement, the migraine headache index, was just the product of these numerical values). The most common migraine disability questionnaires are the migraine disability assessment (MIDAS), headache impact test (HIT), and migraine specific quality of life questionnaire (MSQ).[31]

One randomized study compared the efficacy of migraine surgery to pharmacologic treatment and found that surgical treatment had a significantly higher success rate than medical treatment. Notably, 36% of patients in the surgical treatment group experienced complete elimination of migraine headaches, compared to and 4% in the medical treatment group.[32] Another randomized study compared surgery to sham surgery. 57% of the surgery group experienced complete elimination of migraine headaches, compared on only 4% of the sham surgery group.[33] A separate study examining outcomes found that there was a bimodal distribution (two main outcomes), where approximately >80% of patients saw either at least an 80% reduction in symptoms or less than 5% reduction. Of the patients seeing significant improvement, the mean improvement was 96%. Of the patients seeing minimal improvement, the average improvement was 0%.[34]

Paying special attention to complete elimination of migraines or measuring outcomes after long follow ups (e.g. years) may be important for assessing the efficacy of migraine surgery because headache research has found a strong placebo effect.[35] A large meta-analysis found that the placebo effect in acute migraine treatments was greatly reduced when the treatment outcome was "pain-free" (9% of patients) compared to "improved" (30% of patients).[36] Studies that have compared migraine surgery to a control group have found similarly low placebo cure rates, both at 4%.[32][33]

Complications

Complications can be perioperative or postoperative. Among the generic set of surgical complications such as bleeding, infection, scarring, complications from general anesthesia, etc. nerve decompressions come with a risk of nerve injury. A nerve can be directly injured due to transection (cutting), traction (pulling), crush injuries (squeezing), destroying a blood vessel that supplied the nerve, etc. While nerve sparing techniques have been developed to mitigate nerve injury,[37][38] the radical nature of decompression surgeries cannot eliminate the risk.

In a large national study of carpal tunnel decompression postoperative complications, the serious complications seen were wound dehiscence, wound infection, tendon injury, and neurovascular injury. Serious postoperative complications, defined as requiring re-admittance to a hospital within 90 days, was relatively rare, at 0.1% over approximately 850,000 surgeries.[39]

Endoscopic sciatic nerve decompression has similarly low rates of complication. Two studies with a combined 95 patients found no complications.[40][30] A systematic review also found a 0% major complication rate and a 1% minor complication rate for the endoscopic approach.[15]

A systematic review on migraine surgeries found a major complication rate of 1% and a liberal estimate on the minor complication rate of approximately 32%. The most common complications were numbness/paresthesia and itching.[13] Another systematic review found the adverse event rate to be 11.6%.[41] One of the challenges in cataloging the complication rate of migraine surgery is that it's a relatively new surgery and so the surgical treatment can be extremely heterogeneous across different surgeons (e.g. remove artery, remove muscle, decompress nerve, remove nerve all across one or more trigger sites).[41]

Other procedures

An alternative to a decompression is a nerve resection.[1] When the nerve does not have any motor fibres and loss of sensation is acceptable, removing the nerve in its entirety may be a more "complete" solution as it will address a much wider dermatome (all distal nerve fibres from the point of excision). Nerve decompressions, in contrast, cannot explore the entire course of a nerve and all its branches and so may potentially miss the true entrapment point. For this reason, a nerve resection may be considered after a failed decompression. Examples of nerves that may be good candidates for resection are lateral femoral cutaneous nerve,[42] zygomaticotemporal branch of the trigeminal nerve,[43] the posterior femoral cutaneous nerve,[44][45] and the middle/superior cluneal nerves.[46]

It's not clear whether a nerve resection is superior to a nerve decompression when both treatments may be suitable. A study on occipital neuralgia in 2017 found that there was not enough data to make a determination.[47] A study on Meralgia Paraesthetica found higher success rates for nerve resection and that most patients were not bothered by numbness following the procedure.[48]

History

The treatment of each peripheral nerve entrapment has its own history, making any single narrative incomplete.[49]

The symptoms of nerve injury in the early 1900s were called nerve palsy (today neuropathy or neuritis are more common terms).[50] The concept of injuries causing nerve palsy was understood at that time.[49] For example, wrist fractures were known to be a cause of nerve palsy through compression, and this could be treated by liberating the nerve.[49][51] It was freeing the nerve after post-traumatic injuries that early nerve decompressions occurred. However, non-traumatic causes of nerve palsy were less clear, in some cases having no known explanation (idiopathic). The development of carpal tunnel syndrome to explain idiopathic tardy median nerve palsy formalized the concept of nerve compression at anatomic areas of narrowing, and influenced the development of other tunnel syndromes.[52][53] This expanded the indications for nerve decompression both to idiopathic neuropathies as well as many parts of the body that exhibited anatomic areas of narrowing in the vicinity of a nerve.

Nerve decompressions have benefited from advances in technology and peripheral nerve surgery. For example, use of the operating microscope (surgery that uses this microscope is now known as microsurgery) was important to the development of the Jannetta procedure for trigeminal neuralgia.[54] Endoscopic surgery was an important advancement, as this allowed greatly expanded surgical access compared to open surgery. In particular, endoscopic surgery gave much better access to the pudendal nerve as well as the sciatic nerve, and allowed the possibility of decompressing the sacral plexus.[18][16][30] The use of image-guided diagnostic nerve blocks provided better capabilities to identify the entrapped nerve as well as the site of entrapment, leading to more accurate diagnosis and reducing the need for surgical exploration.[7][55] The use of magnetic resonance neurography (MRN) and diffusion tensor imaging (DTI) have allowed better visualization of nerves, at times identifying the site of entrapment without the need for extensive surgical exploration.[9][56] Robot-assisted surgery is still in the early stages, not yet achieving widespread use for nerve decompressions or even for peripheral nerve surgery, however it can provide dexterity, precision, and stability not possible by hand.[57]

1878: first ulnar nerve decompression.[50] However, it did not gain much traction at the time.

1933: first published carpal tunnel surgery for post-traumatic compression[58]

1946: first carpal tunnel surgery for idiopathic compression[59][49]

1958: cubital tunnel surgery described[60][50]

1962: tarsal tunnel surgery described[52]

1967: Janetta procedure for trigeminal neuralgia[61]

1989: endoscopic carpal tunnel surgery[62]

1992: Magnetic resonance neurography described.[63] First clinical study on nerve decompressions to relieve symptoms of diabetic peripheral neruopathy.[64][65]

1994: Diffusion tensor imaging described[66]

1997 endoscopic pudendal nerve decompression[67]

2000: correlation found between brow lifts and migraine reduction. This is the precursor to modern migraine surgery.[68]

2003: arthroscopic piriformis muscle release[69]

2005: Magnetic resonance neurography and image-guided injections used in a clinical research study to improve nerve decompression outcomes[14]

2010: endoscopic sciatic nerve decompression[30]

2015: laparoscopic sacral plexus decompression;[18] robotic pudendal nerve decompression[70]

Society and culture

Controversy

Surgical nerve decompression has caused controversy across various medical specialties. The controversy is generally over the interpretation of available evidence and quality of evidence necessary to consider nerve decompression as a valid treatment option for specific diseases/syndromes.

Critics

Critics generally believe the results of specific nerve decompression surgeries are attributable to either the placebo effect (patient expectations influencing outcomes) or natural history (patients getting better on their own).[71][72][73] Critics sometimes reject the validity of nerve decompression surgery because the thesis of nerve compression conflicts with preexisting theories about how certain diseases work.[71][73] In diabetic peripheral neuropathy (treatable in some cases with multiple nerve decompressions[73]) and migraines (migraine surgery is a nerve decompression[74]), critics dispute the interpretation of the results because the majority of studies are of retrospective case series (reports of surgeries performed in the past) rather than prospective randomized controlled trials (RCTs), and so any positive results of surgery could be influenced by methodological flaws such as lack of proper control groups.[75][76][77] Critics may believe that given the lack of RCTs on nerve decompression surgery, and the known risk of surgical complications (however small), nerve decompression should not be recommended.[71]

Proponents

Proponents have alleged that the success of treating previously untreatable patients validates decompression as a treatment.[72][14][78] That RCTs in surgical research have ethical issues, as a proper control group would receive a placebo surgery and be exposed to surgical complications.[78][65] That prospective RCTs should not be the only way to reason about whether a therapy is effective given the challenges in using RCTs to study surgery (a suggested alternative is to compare surgery to the best existing treatments).[78][65] That potential bias in existing studies doesn't account for the large, reproducible effects of nerve decompression, so the results should not be discounted just because the studies aren't RCTs.[78] That the improvement from surgery is clearly much larger than the studied magnitude of the placebo effect, and so cannot be explained by it.[72][78] That suggesting surgery is placebo is a double standard when these same treatment-resistant patients do not benefit from the placebo effect of failed non-surgical treatments and even prior failed surgical treatments.[72][78] Proponents have noted that nerve compressions are seen in many other nerves, and that we should expect to see some number of patients with entrapments of any given peripheral nerve.[78] Proponents have asserted that some critics have gone beyond healthy skepticism, exaggerated proponents' claims, argued against positions the proponents did not make, levied non-constructive criticism, and misinterpreted the placebo effect in ways not supported by peer-reviewed research.[72][78]

See also

References

  1. ^ a b Lipinski, L. J.; Spinner, R. J. (2014). "Neurolysis, neurectomy, and nerve repair/Reconstruction for chronic pain". Neurosurgery Clinics of North America. 25 (4): 777–787. doi:10.1016/j.nec.2014.07.002. PMID 25240664.
  2. ^ Siddiq, Md Abu Bakar; Clegg, Danny; Hasan, Suzon Al; Rasker, Johannes J. (2020). "Extra-spinal sciatica and sciatica mimics: a scoping review". The Korean Journal of Pain. 33 (4): 305–317. doi:10.3344/kjp.2020.33.4.305. PMC 7532296. PMID 32989195.
  3. ^ Kulcu, Duygu Geler; Naderi, Sait (2008). "Differential diagnosis of intraspinal and extraspinal non-discogenic sciatica". Journal of Clinical Neuroscience. 15 (11): 1246–1252. doi:10.1016/j.jocn.2008.01.017. PMID 18789864. S2CID 18912919.
  4. ^ MacKay, B. J.; Cox, C. T.; Valerio, I. L.; Greenberg, J. A.; Buncke, G. M.; Evans, P. J.; Mercer, D. M.; McKee, D. M.; Ducic, I. (2021). "Evidence-Based Approach to Timing of Nerve Surgery: A Review". Annals of Plastic Surgery. 87 (3): e1 – e21. doi:10.1097/SAP.0000000000002767. PMC 8560160. PMID 33833177.
  5. ^ a b Wiederhold BD, Garmon EH, Peterson E, et al. Nerve Block Anesthesia. [Updated 2023 Apr 29]. In: StatPearls [Internet]. Treasure Island (FL): StatPearls Publishing; 2023 Jan-. Available from: https://www.ncbi.nlm.nih.gov/books/NBK431109/
  6. ^ Muniz Neto, F. J.; Kihara Filho, E. N.; Miranda, F. C.; Rosemberg, L. A.; Santos DCB; Taneja, A. K. (2018). "Demystifying MR Neurography of the Lumbosacral Plexus: From Protocols to Pathologies". BioMed Research International. 2018: 1–20. doi:10.1155/2018/9608947. PMC 5832061. PMID 29662907.
  7. ^ a b c Wadhwa, V.; Scott, K. M.; Rozen, S.; Starr, A. J.; Chhabra, A. (2016). "CT-guided Perineural Injections for Chronic Pelvic Pain". Radiographics. 36 (5): 1408–1425. doi:10.1148/rg.2016150263. PMID 27618322.
  8. ^ Schmid, A. B.; Fundaun, J.; Tampin, B. (2020). "Entrapment neuropathies: A contemporary approach to pathophysiology, clinical assessment, and management". Pain Reports. 5 (4): e829. doi:10.1097/PR9.0000000000000829. PMC 7382548. PMID 32766466.
  9. ^ a b Lemos, N.; Melo HJF; Sermer, C.; Fernandes, G.; Ribeiro, A.; Nascimento, G.; Luo, Z. C.; Girão MJBC; Goldman, S. M. (2021). "Lumbosacral plexus MR tractography: A novel diagnostic tool for extraspinal sciatica and pudendal neuralgia?". Magnetic Resonance Imaging. 83: 107–113. doi:10.1016/j.mri.2021.08.003. PMID 34400289.
  10. ^ Sermer, Corey; Li, Adrienne L K.; Fernandes, Gustavo L.; Ribeiro, Augusta M.; Polesello, Giancarlo; Tokechi, Denise; Cancelliere, Laura; Lemos, Nucelio (2021). "Intrapelvic entrapment of sacral nerve roots by abnormal bundles of the piriformis muscle: Description of an extra-spinal cause of sciatica and pudendal neuralgia". Journal of Hip Preservation Surgery. 8 (1): 132–138. doi:10.1093/jhps/hnab041. PMC 8460165. PMID 34567608.
  11. ^ Di Carlo DT, Benedetto N, Perrini P (December 2022). "Clinical outcome after microvascular decompression for trigeminal neuralgia: a systematic review and meta-analysis". Neurosurg Rev. 46 (1): 8. doi:10.1007/s10143-022-01922-0. PMID 36481917.
  12. ^ Tu Y, Lineaweaver WC, Chen Z, Hu J, Mullins F, Zhang F (March 2017). "Surgical Decompression in the Treatment of Diabetic Peripheral Neuropathy: A Systematic Review and Meta-analysis". J Reconstr Microsurg. 33 (3): 151–157. doi:10.1055/s-0036-1594300. PMID 27894152.
  13. ^ a b c Elhawary, H.; Barone, N.; Baradaran, A.; Janis, J. E. (2022). "Efficacy and Safety of Migraine Surgery: A Systematic Review and Meta-analysis of Outcomes and Complication Rates". Annals of Surgery. 275 (2): e315 – e323. doi:10.1097/SLA.0000000000005057. PMID 35007230. S2CID 237736309.
  14. ^ a b c Filler AG, Haynes J, Jordan SE, Prager J, Villablanca JP, Farahani K, McBride DQ, Tsuruda JS, Morisoli B, Batzdorf U, Johnson JP (February 2005). "Sciatica of nondisc origin and piriformis syndrome: diagnosis by magnetic resonance neurography and interventional magnetic resonance imaging with outcome study of resulting treatment". J Neurosurg Spine. 2 (2): 99–115. doi:10.3171/spi.2005.2.2.0099. PMID 15739520.
  15. ^ a b c Kay, J.; De Sa, D.; Morrison, L.; Fejtek, E.; Simunovic, N.; Martin, H. D.; Ayeni, O. R. (2017). "Surgical Management of Deep Gluteal Syndrome Causing Sciatic Nerve Entrapment: A Systematic Review". Arthroscopy. 33 (12): 2263–2278.e1. doi:10.1016/j.arthro.2017.06.041. PMID 28866346.
  16. ^ a b Giulioni C, Pirola GM, Maggi M, Pitoni L, Fuligni D, Beltrami M, Palantrani V, De Stefano V, Maurizi V, Castellani D, Galosi AB (March 2024). "Pudendal Nerve Neurolysis in Patients Afflicted With Pudendal Nerve Entrapment: A Systematic Review of Surgical Techniques and Their Efficacy". Int Neurourol J. 28 (1): 11–21. doi:10.5213/inj.2448010.005. PMC 10990758. PMID 38569616.
  17. ^ Lu VM, Burks SS, Heath RN, Wolde T, Spinner RJ, Levi AD (January 2021). "Meralgia paresthetica treated by injection, decompression, and neurectomy: a systematic review and meta-analysis of pain and operative outcomes". J Neurosurg. 135 (3): 912–922. doi:10.3171/2020.7.JNS202191. PMID 33450741.
  18. ^ a b c Lemos N, Possover M (July 2015). "Laparoscopic approach to intrapelvic nerve entrapments". J Hip Preserv Surg. 2 (2): 92–8. doi:10.1093/jhps/hnv030. PMC 4718483. PMID 27011825.
  19. ^ Panther EJ, Reintgen CD, Cueto RJ, Hao KA, Chim H, King JJ (November 2022). "Thoracic outlet syndrome: a review". J Shoulder Elbow Surg. 31 (11): e545 – e561. doi:10.1016/j.jse.2022.06.026. PMID 35963513.
  20. ^ Multanen, J.; Ylinen, J.; Karjalainen, T.; Ikonen, J.; Häkkinen, A.; Repo, J. P. (2020). "Structural validity of the Boston Carpal Tunnel Questionnaire and its short version, the 6-Item CTS symptoms scale: A Rasch analysis one year after surgery". BMC Musculoskeletal Disorders. 21 (1): 609. doi:10.1186/s12891-020-03626-2. PMC 7488577. PMID 32919457.
  21. ^ Fairbank, J. C.; Pynsent, P. B. (2000). "The Oswestry Disability Index". Spine. 25 (22): 2940–52, discussion 2952. doi:10.1097/00007632-200011150-00017. PMID 11074683.
  22. ^ Stewart, W. F.; Lipton, R. B.; Dowson, A. J.; Sawyer, J. (2001). "Development and testing of the Migraine Disability Assessment (MIDAS) Questionnaire to assess headache-related disability". Neurology. 56 (6 Suppl 1): S20-8. doi:10.1212/wnl.56.suppl_1.s20. PMID 11294956. S2CID 34969392.
  23. ^ McCormack, H. M.; Horne, D. J.; Sheather, S. (1988). "Clinical applications of visual analogue scales: A critical review". Psychological Medicine. 18 (4): 1007–1019. doi:10.1017/s0033291700009934. PMID 3078045. S2CID 40967687.
  24. ^ Rosales, R. S.; Atroshi, I. (2020). "The methodological requirements for clinical examination and patient-reported outcomes, and how to test them". The Journal of Hand Surgery, European Volume. 45 (1): 12–18. doi:10.1177/1753193419885509. PMID 31722640. S2CID 208018584.
  25. ^ Anufriyeva, V.; Pavlova, M.; Stepurko, T.; Groot, W. (2021). "The validity and reliability of self-reported satisfaction with healthcare as a measure of quality: A systematic literature review". International Journal for Quality in Health Care. 33 (1). doi:10.1093/intqhc/mzaa152. PMID 33306791.
  26. ^ Louie, D.; Earp, B.; Blazar, P. (2012). "Long-term outcomes of carpal tunnel release: A critical review of the literature". Hand. 7 (3): 242–246. doi:10.1007/s11552-012-9429-x. PMC 3418353. PMID 23997725.
  27. ^ Haupt, W. F.; Wintzer, G.; Schop, A.; Löttgen, J.; Pawlik, G. (1993). "Long-term results of carpal tunnel decompression. Assessment of 60 cases". Journal of Hand Surgery. 18 (4): 471–474. doi:10.1016/0266-7681(93)90149-a. PMID 8409659. S2CID 39752737.
  28. ^ Kouyoumdjian, J. A.; Morita, M. P.; Molina, A. F.; Zanetta, D. M.; Sato, A. K.; Rocha, C. E.; Fasanella, C. C. (2003). "Long-term outcomes of symptomatic electrodiagnosed carpal tunnel syndrome". Arquivos de Neuro-Psiquiatria. 61 (2A): 194–198. doi:10.1590/s0004-282x2003000200007. PMID 12806496.
  29. ^ Klokkari, D.; Mamais, I. (2018). "Effectiveness of surgical versus conservative treatment for carpal tunnel syndrome: A systematic review, meta-analysis and qualitative analysis". Hong Kong Physiotherapy Journal. 38 (2): 91–114. doi:10.1142/S1013702518500087. PMC 6405353. PMID 30930582.
  30. ^ a b c d Martin, H. D.; Shears, S. A.; Johnson, J. C.; Smathers, A. M.; Palmer, I. J. (2011). "The endoscopic treatment of sciatic nerve entrapment/Deep gluteal syndrome". Arthroscopy. 27 (2): 172–181. doi:10.1016/j.arthro.2010.07.008. PMID 21071168.
  31. ^ Albano, N. J.; Israel, J. S.; Carbullido, M. K.; Stilp, E. K.; Leverson, G.; Voils, C. I.; Afifi, A. M. (2023). "Measuring Success in Headache Surgery: A Comparison of Different Outcomes Measures". Plastic and Reconstructive Surgery. 151 (3): 469e – 476e. doi:10.1097/PRS.0000000000009930. PMID 36730226. S2CID 256500770.
  32. ^ a b Omranifard, M.; Abdali, H.; Ardakani, M. R.; Talebianfar, M. (2016). "A comparison of outcome of medical and surgical treatment of migraine headache: In 1 year follow-up". Advanced Biomedical Research. 5: 121. doi:10.4103/2277-9175.186994. PMC 4976529. PMID 27563631.
  33. ^ a b Guyuron, B.; Reed, D.; Kriegler, J. S.; Davis, J.; Pashmini, N.; Amini, S. (2009). "A placebo-controlled surgical trial of the treatment of migraine headaches". Plastic and Reconstructive Surgery. 124 (2): 461–468. doi:10.1097/PRS.0b013e3181adcf6a. PMID 19644260. S2CID 22577636.
  34. ^ Gfrerer, L.; Hulsen, J. H.; McLeod, M. D.; Wright, E. J.; Austen Jr, W. G. (2019). "Migraine Surgery: An All or Nothing Phenomenon? Prospective Evaluation of Surgical Outcomes". Annals of Surgery. 269 (5): 994–999. doi:10.1097/SLA.0000000000002697. PMID 29394166. S2CID 21621871.
  35. ^ Diener, H. C.; Schorn, C. F.; Bingel, U.; Dodick, D. W. (2008). "The importance of placebo in headache research". Cephalalgia. 28 (10): 1003–1011. doi:10.1111/j.1468-2982.2008.01660.x. PMID 18727647.
  36. ^ MacEdo, A.; Farré, M.; Baños, J. E. (2006). "A meta-analysis of the placebo response in acute migraine and how this response may be influenced by some of the characteristics of clinical trials". European Journal of Clinical Pharmacology. 62 (3): 161–172. doi:10.1007/s00228-005-0088-5. PMID 16402240. S2CID 1864715.
  37. ^ Tavukçu, H. H.; Aytac, O.; Atug, F. (2016). "Nerve-sparing techniques and results in robot-assisted radical prostatectomy". Investigative and Clinical Urology. 57 (Suppl 2): S172 – S184. doi:10.4111/icu.2016.57.S2.S172. PMC 5161020. PMID 27995221.
  38. ^ Michl, U.; Tennstedt, P.; Feldmeier, L.; Mandel, P.; Oh, S. J.; Ahyai, S.; Budäus, L.; Chun FKH; Haese, A.; Heinzer, H.; Salomon, G.; Schlomm, T.; Steuber, T.; Huland, H.; Graefen, M.; Tilki, D. (2016). "Nerve-sparing Surgery Technique, Not the Preservation of the Neurovascular Bundles, Leads to Improved Long-term Continence Rates After Radical Prostatectomy". European Urology. 69 (4): 584–589. doi:10.1016/j.eururo.2015.07.037. PMID 26277303.
  39. ^ Lane JCE; Craig, R. S.; Rees, J. L.; Gardiner, M. D.; Green, J.; Prieto-Alhambra, D.; Furniss, D. (2021). "Serious postoperative complications and reoperation after carpal tunnel decompression surgery in England: A nationwide cohort analysis". The Lancet. Rheumatology. 3 (1): e49 – e57. doi:10.1016/S2665-9913(20)30238-1. PMC 7762724. PMID 33381769.
  40. ^ Ham, D. H.; Chung, W. C.; Jung, D. U. (2018). "Effectiveness of Endoscopic Sciatic Nerve Decompression for the Treatment of Deep Gluteal Syndrome". Hip & Pelvis. 30 (1): 29–36. doi:10.5371/hp.2018.30.1.29. PMC 5861023. PMID 29564295.
  41. ^ a b Wormald JCR; Luck, J.; Athwal, B.; Muelhberger, T.; Mosahebi, A. (2019). "Surgical intervention for chronic migraine headache: A systematic review". Jpras Open. 20: 1–18. doi:10.1016/j.jpra.2019.01.002. PMC 7061614. PMID 32158867.
  42. ^ Son, Byung-Chul; Kim, Deok-Ryeong; Kim, Il-Sup; Hong, Jae-Taek; Sung, Jae-Hoon; Lee, Sang-Won (2012). "Neurolysis for Megalgia Paresthetica". Journal of Korean Neurosurgical Society. 51 (6): 363–366. doi:10.3340/jkns.2012.51.6.363. PMC 3424177. PMID 22949966.
  43. ^ Guyuron, B.; Harvey, D.; Reed, D. (2015). "A Prospective Randomized Outcomes Comparison of Two Temple Migraine Trigger Site Deactivation Techniques". Plastic and Reconstructive Surgery. 136 (1): 159–165. doi:10.1097/PRS.0000000000001322. PMID 25829156. S2CID 29623468.
  44. ^ Kachniarz, B.; Dellon, A. L. (2021). "Relief of Sitting Pain by Resecting Posterior Femoral Cutaneous Nerve, and Elucidation of Its Anatomical Branching Pattern". Journal of Reconstructive Microsurgery. 37 (8): 687–693. doi:10.1055/s-0041-1726027. PMID 33757132. S2CID 232337608.
  45. ^ Dellon, A. L. (2015). "Pain with sitting related to injury of the posterior femoral cutaneous nerve". Microsurgery. 35 (6): 463–468. doi:10.1002/micr.22422. PMID 25917688. S2CID 19934384.
  46. ^ Karl, H. W.; Helm, S.; Trescot, A. M. (2022). "Superior and Middle Cluneal Nerve Entrapment: A Cause of Low Back and Radicular Pain". Pain Physician. 25 (4): E503 – E521. PMID 35793175.
  47. ^ McNutt, S.; Hallan, D. R.; Rizk, E. (2020). "Evaluating the Evidence: Is Neurolysis or Neurectomy a Better Treatment for Occipital Neuralgia?". Cureus. 12 (11): e11461. doi:10.7759/cureus.11461. PMC 7733770. PMID 33329959.
  48. ^ De Ruiter, Godard C. W.; Wurzer, Johannes A. L.; Kloet, Alfred (2012). "Decision making in the surgical treatment of meralgia paresthetica: Neurolysis versus neurectomy". Acta Neurochirurgica. 154 (10): 1765–1772. doi:10.1007/s00701-012-1431-0. PMID 22766927. S2CID 23265897.
  49. ^ a b c d Little KM, Zomorodi AR, Selznick LA, Friedman AH (April 2004). "An eclectic history of peripheral nerve surgery". Neurosurg Clin N Am. 15 (2): 109–23. doi:10.1016/j.nec.2003.12.002. PMID 15177311.
  50. ^ a b c Bartels RH (August 2001). "History of the surgical treatment of ulnar nerve compression at the elbow". Neurosurgery. 49 (2): 391–9, discussion 399–400. doi:10.1097/00006123-200108000-00023. PMID 11504115.
  51. ^ Lewis D, Miller EM (October 1922). "PERIPHERAL NERVE INJURIES ASSOCIATED WITH FRACTURES". Ann Surg. 76 (4): 528–38. doi:10.1097/00000658-192210000-00018. PMC 1400211. PMID 17864723.
  52. ^ a b LAM SJ (December 1962). "A tarsal-tunnel syndrome". Lancet. 2 (7270): 1354–5. doi:10.1016/s0140-6736(62)91024-3. PMID 13928212.
  53. ^ PHALEN GS, GARDNER WJ, LA LONDE AA (January 1950). "Neuropathy of the median nerve due to compression beneath the transverse carpal ligament". J Bone Joint Surg Am. 32A (1): 109–12. PMID 15401727.
  54. ^ Patel SK, Markosian C, Choudhry OJ, Keller JT, Liu JK (November 2020). "The historical evolution of microvascular decompression for trigeminal neuralgia: from Dandy's discovery to Jannetta's legacy". Acta Neurochir (Wien). 162 (11): 2773–2782. doi:10.1007/s00701-020-04405-7. PMID 32519161.
  55. ^ Fritz J, Chhabra A, Wang KC, Carrino JA (February 2014). "Magnetic resonance neurography-guided nerve blocks for the diagnosis and treatment of chronic pelvic pain syndrome". Neuroimaging Clin N Am. 24 (1): 211–34. doi:10.1016/j.nic.2013.03.028. PMID 24210321.
  56. ^ Wadhwa V, Hamid AS, Kumar Y, Scott KM, Chhabra A (June 2017). "Pudendal nerve and branch neuropathy: magnetic resonance neurography evaluation". Acta Radiol. 58 (6): 726–733. doi:10.1177/0284185116668213. PMID 27664277.
  57. ^ Chen LW, Goh M, Goh R, Chao YK, Huang JJ, Kuo WL, Sung CW, Chuieng-Yi Lu J, Chuang DC, Chang TN (July 2021). "Robotic-Assisted Peripheral Nerve Surgery: A Systematic Review". J Reconstr Microsurg. 37 (6): 503–513. doi:10.1055/s-0040-1722183. PMID 33401326.
  58. ^ Stecco C, Aldegheri R (May 2008). "Historical review of carpal tunnel syndrome". Chir Organi Mov. 92 (1): 7–10. doi:10.1007/s12306-008-0033-8. PMID 18566759.
  59. ^ CANNON BW, LOVE JG (August 1946). "Tardy median palsy; median neuritis; median thenar neuritis amenable to surgery". Surgery. 20: 210–6. PMID 20994804.
  60. ^ FEINDEL W, STRATFORD J (March 1958). "Cubital tunnel compression in tardy ulnar palsy". Can Med Assoc J. 78 (5): 351–3. PMC 1829685. PMID 13511308.
  61. ^ Jannetta PJ (January 1967). "Arterial compression of the trigeminal nerve at the pons in patients with trigeminal neuralgia". J Neurosurg. 26 (1): Suppl:159–62. doi:10.3171/jns.1967.26.1part2.0159. PMID 6018932.
  62. ^ Okutsu I, Ninomiya S, Takatori Y, Ugawa Y (1989). "Endoscopic management of carpal tunnel syndrome". Arthroscopy. 5 (1): 11–8. doi:10.1016/0749-8063(89)90084-4. PMID 2706046.
  63. ^ Howe FA, Filler AG, Bell BA, Griffiths JR (December 1992). "Magnetic resonance neurography". Magn Reson Med. 28 (2): 328–38. doi:10.1002/mrm.1910280215. PMID 1461131.
  64. ^ Dellon AL (April 1992). "Treatment of symptomatic diabetic neuropathy by surgical decompression of multiple peripheral nerves". Plast Reconstr Surg. 89 (4): 689–97, discussion 698–9. PMID 1546082.
  65. ^ a b c Dellon AL (July 2006). "From there to here: a personal viewpoint after three decades of neuropathy research". Clin Podiatr Med Surg. 23 (3): 497–508. doi:10.1016/j.cpm.2006.04.001. PMID 16958384.
  66. ^ Basser PJ, Mattiello J, LeBihan D (January 1994). "MR diffusion tensor spectroscopy and imaging". Biophys J. 66 (1): 259–67. doi:10.1016/S0006-3495(94)80775-1. PMC 1275686. PMID 8130344.
  67. ^ Rubin G, Orbach H, Bor N, Rozen N (October 2019). "Tardy Ulnar Nerve Palsy". J Am Acad Orthop Surg. 27 (19): 717–725. doi:10.5435/JAAOS-D-18-00138. PMID 30939566.
  68. ^ Guyuron B, Varghai A, Michelow BJ, Thomas T, Davis J (August 2000). "Corrugator supercilii muscle resection and migraine headaches". Plast Reconstr Surg. 106 (2): 429–34, discussion 435–7. doi:10.1097/00006534-200008000-00030. PMID 10946944.
  69. ^ Dezawa A, Kusano S, Miki H (2003). "Arthroscopic release of the piriformis muscle under local anesthesia for piriformis syndrome". Arthroscopy. 19 (5): 554–7. doi:10.1053/jars.2003.50158. PMID 12724687.
  70. ^ Rey D, Oderda M (April 2015). "The first case of robotic pudendal nerve decompression in pudendal nerve entrapment syndrome". J Laparoendosc Adv Surg Tech A. 25 (4): 319–22. doi:10.1089/lap.2014.0013. PMID 25790267.
  71. ^ a b c McGeeney BE (2015). "Migraine Trigger Site Surgery is All Placebo". Headache. 55 (10): 1461–3. doi:10.1111/head.12715. PMID 26473329.
  72. ^ a b c d e Tiel RL, Kline DG (July 2006). "Piriformis syndrome". J Neurosurg Spine. 5 (1): 102–4, author reply 104–8. doi:10.3171/spi.2006.5.1.102. PMID 16850969.
  73. ^ a b c Cornblath DR, Vinik A, Feldman E, Freeman R, Boulton AJ (February 2007). "Surgical decompression for diabetic sensorimotor polyneuropathy". Diabetes Care. 30 (2): 421–2. doi:10.2337/dc06-2324. PMID 17259523.
  74. ^ Alrahbeni T, Mahal A, Alkhouri A, Alotaibi HF, Rajagopal V, Behera A, Al-Mugheed K, Khatib MN, Gaidhane S, Zahiruddin QS, Shabil M, Bushi G, Rustagi S, Kukreti N, Satapathy P, Mohapatra RK, Dziedzic A, Padhi BK (April 2024). "Surgical interventions for intractable migraine: a systematic review and meta-analysis". Int J Surg. doi:10.1097/JS9.0000000000001480. PMC 11486983. PMID 38626410.
  75. ^ Mathew PG (January 2014). "A critical evaluation of migraine trigger site deactivation surgery". Headache. 54 (1): 142–52. doi:10.1111/head.12218. PMID 24116941.
  76. ^ Chaudhry V, Russell J, Belzberg A (July 2008). "Decompressive surgery of lower limbs for symmetrical diabetic peripheral neuropathy". Cochrane Database Syst Rev. 2008 (3): CD006152. doi:10.1002/14651858.CD006152.pub2. PMC 8990523. PMID 18646138.
  77. ^ Chaudhry V, Stevens JC, Kincaid J, So YT (June 2006). "Practice Advisory: utility of surgical decompression for treatment of diabetic neuropathy: report of the Therapeutics and Technology Assessment Subcommittee of the American Academy of Neurology". Neurology. 66 (12): 1805–8. doi:10.1212/01.wnl.0000219631.89207.a9. PMID 16801641.
  78. ^ a b c d e f g h de Ru JA (April 2016). "Migraine Trigger Site Surgery is All Placebo". Headache. 56 (4): 776–8. doi:10.1111/head.12813. PMID 27092535.