Oncocyte

Cytopathology of Warthin's tumor, with typical cellular features (and a relatively uncommon binucleated cell).[1] Pap stain. The relatively large size of the oncocytes is seen when comparing to the lymphocyte.
Micrograph showing apocrine-type metaplasia of the breast with typical oncocytes.[2] H&E stain.
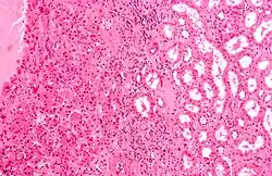
Oncocytes (left of image), as seen in a renal oncocytoma. H&E stain.

An oncocyte is an epithelial cell characterized by an excessive number of mitochondria, resulting in an abundant acidophilic, granular cytoplasm. Oncocytes can be benign or malignant.

Other names

Also known as:

Etymology

Derived from the Greek root onco-, which means mass, bulk.

See also

References

  1. ^ Image by Mikael Häggström, MD. References for entries:
    - Köybaşioğlu FF, Önal B, Han Ü, Adabağ A, Şahpaz A (2020). "Cytomorphological findings in diagnosis of Warthin tumor". Turk J Med Sci. 50 (1): 148–154. doi:10.3906/sag-1901-215. PMC 7080357. PMID 31769640.{{cite journal}}: CS1 maint: multiple names: authors list (link)
    Binucleation:
    - Dr.S. Malliga (2006-10-18). "A correlative cytological and histopathological study on lesions of salivary gland" (PDF).
    - Chan MKM, McGuire LJ: Cytodiagnosis of Lesions Presenting as Salivary Gland Swellings: A Report of Seven Cases. Diagn Cytopathol 8: 439-443, 1992b.
  2. ^ Image by Mikael Häggström, MD. Reference for findings: Carlos C. Diez Freire, M.D., Shahla Masood, M.D. "Apocrine metaplasia". Pathology Outlines.{{cite web}}: CS1 maint: multiple names: authors list (link) Last author update: 28 May 2020.