Peliosis hepatis

Peliosis hepatis
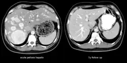
The CT scan of a patient with peliosis hepatis (left): The follow-up CT (right) after 7 years shows full remission.
SpecialtyGastroenterology, hepatology
Symptomsasymptomatic, abdominal pain, jaundice

Peliosis hepatis is an uncommon vascular condition characterised by multiple, randomly distributed, blood-filled cavities throughout the liver. The size of the cavities usually ranges between a few millimetres and 3 cm in diameter.[1] In the past, it was a mere histological curiosity occasionally found at autopsies, but has been increasingly recognised with wide-ranging conditions from AIDS to the use of anabolic steroids. It also occasionally affects spleen, lymph nodes, lungs, kidneys, adrenal glands, bone marrow, and other parts of gastrointestinal tract.[2]

Peliosis hepatis is often erroneously written "peliosis hepatitis", despite its not being one of the hepatitides. The correct term arises from the Greek pelios, i.e. discoloured by extravasated blood, livid,[3] and the Latinized genitive case (hepatis[4]) of the Greek hepar, liver.[5]

Signs and symptoms

Often, peliosis hepatis causes no symptoms (asymptomatic). In other cases, it may be identified after blood tests show abnormalities in liver enzymes.[6]

Less commonly, peliosis hepatis may cause abdominal pain, especially right upper quadrant pain, or jaundice.[6]

Presentation

Disease associations

Pathophysiology

The pathogenesis of peliosis hepatis is unknown. Several hypotheses are given, such as it arises from sinusoidal epithelial damage,[13] increased sinusoidal pressure due to obstruction in blood outflow from the liver, or hepatocellular necrosis.[1]

Peliosis hepatis is associated with infections, cancers, organ transplantation, blood disorders, autoimmune conditions, and certain medications.[6]

Two morphologic patterns of hepatic peliosis were described by Yanoff and Rawson.[14] In the phlebectatic type, the blood-filled spaces are lined with endothelium and are associated with aneurysmal dilatation of the central vein; in the parenchymal type, the spaces have no endothelial lining and they usually are associated with haemorrhagic parenchymal necrosis. Some consider both patterns to be one process, initiated by focal necrosis of liver parenchyma, observed in parenchymal type, progressing into formation of fibrous wall and endothelial lining around haemorrhage of phlebectatic type. Fibrosis, cirrhosis, regenerative nodules, and tumours may also be seen.

Diagnosis

The condition is typically asymptomatic and is discovered following evaluation of abnormal liver function test. However, when severe, it can manifest as jaundice, hepatomegaly, liver failure, and haemoperitoneum.

Other cystic conditions of liver

Treatment

Treatment is usually directed towards management of the underlying cause. Withdrawal of azathioprine leads to remission in kidney transplant; bacillary peliosis responds to antibiotics. In rare circumstances partial resection of liver or transplant may be required.

Epidemiology

Peliosis hepatis usually affects adults, though may occur in children.[6] Peliosis hepatis occurs equally in men and women.[15][6]

History

Peliosis hepatis was first described in 1861.[15]

References

  1. ^ a b Sleisenger, Marvin (2006). Sleisenger and Fordtran's Gastrointestinal and Liver Disease. Philadelphia: W.B. Saunders Company. ISBN 978-1-4160-0245-1. Chapter 80
  2. ^ Ichijima K, Kobashi Y, Yamabe H, Fujii Y, Inoue Y (1980). "Peliosis hepatis. An unusual case involving multiple organs". Pathology International. 30 (1): 109–20. doi:10.1111/j.1440-1827.1980.tb01308.x. PMID 7361545. S2CID 19074965.
  3. ^ "Henry George Liddell, Robert Scott, A Greek-English Lexicon". Retrieved 2007-06-11.
  4. ^ "Charlton T. Lewis, Charles Short, A Latin Dictionary". Retrieved 2007-07-02.
  5. ^ "Henry George Liddell, Robert Scott, A Greek-English Lexicon". Retrieved 2007-07-02.
  6. ^ a b c d e A Siddiqi, I; Gupta, N (January 2024). Peliosis Hepatis. Treasure Island (FL): StatPearls Publishing. PMID 32119357.
  7. ^ Koehler JE, Sanchez MA, Garrido CS, Whitfeld MJ, Chen FM, Berger TG, Rodriguez-Barradas MC, LeBoit PE, Tappero JW (1997). "Molecular epidemiology of bartonella infections in patients with bacillary angiomatosis-peliosis". N. Engl. J. Med. 337 (26): 1876–83. doi:10.1056/NEJM199712253372603. PMID 9407154.
  8. ^ Perkocha LA, Geaghan SM, Yen TS, Nishimura SL, Chan SP, Garcia-Kennedy R, Honda G, Stoloff AC, Klein HZ, Goldman RL (1990). "Clinical and pathological features of bacillary peliosis hepatis in association with human immunodeficiency virus infection". N. Engl. J. Med. 323 (23): 1581–6. doi:10.1056/NEJM199012063232302. PMID 2233946.
  9. ^ Haboubi NY, Ali HH, Whitwell HL, Ackrill P (1988). "Role of endothelial cell injury in the spectrum of azathioprine-induced liver disease after renal transplant: light microscopy and ultrastructural observations". Am. J. Gastroenterol. 83 (3): 256–61. PMID 3278593.
  10. ^ Izumi S, Nishiuchi M, Kameda Y, Nagano S, Fukunishi T, Kohro T, Shinji Y (1994). "Laparoscopic study of peliosis hepatis and nodular transformation of the liver before and after renal transplantation: natural history and aetiology in follow-up cases". J. Hepatol. 20 (1): 129–37. doi:10.1016/S0168-8278(05)80479-9. PMID 8201214.
  11. ^ Cavalcanti R, Pol S, Carnot F, Campos H, Degott C, Driss F, Legendre C, Kreis H (1994). "Impact and evolution of peliosis hepatis in renal transplant recipients". Transplantation. 58 (3): 315–6. doi:10.1097/00007890-199408150-00011. PMID 8053054.
  12. ^ Goldman, Lee (2003). Cecil Textbook of Medicine -- 2-Volume Set, Text with Continually Updated Online Reference. Philadelphia: W.B. Saunders Company. ISBN 978-0-7216-4563-6.
  13. ^ Gushiken FC (2000). "Peliosis hepatis after treatment with 2-chloro-3'-deoxyadenosine". South. Med. J. 93 (6): 625–6. doi:10.1097/00007611-200006000-00020. PMID 10881786.
  14. ^ YANOFF M, RAWSON AJ (1964). "Peliosis Hepatis. An Anatomic Study with Demonstration of Two Varieties". Archives of Pathology. 77: 159–65. PMID 14088761.
  15. ^ a b Crocetti, D; Palmieri, A; Pedullà, G; Pasta, V; D'Orazi, V; Grazi, GL (14 December 2015). "Peliosis hepatis: Personal experience and literature review". World Journal of Gastroenterology. 21 (46): 13188–94. doi:10.3748/wjg.v21.i46.13188. PMC 4674738. PMID 26675327. S2CID 19321062.