Pulmonary capillary hemangiomatosis
| Pulmonary capillary hemangiomatosis | |
|---|---|
| Other names | Wagenvoort syndrome |
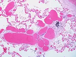
![]() | |
| Alveolar capillary proliferation as well as proliferation of larger blood vessels, probably venules. | |
| Specialty | Pulmonology |
Pulmonary capillary hemangiomatosis (PCH) is a disease affecting the blood vessels of the lungs, where abnormal capillary proliferation and venous fibrous intimal thickening result in progressive increase in vascular resistance.[1] It is a rare cause of pulmonary hypertension, and occurs predominantly in young adults.[2][3] Together with pulmonary veno-occlusive disease, PCH comprises WHO Group I' causes for pulmonary hypertension. Indeed, there is some evidence to suggest that PCH and pulmonary veno-occlusive disease are different forms of a similar disease process.[4]
Signs and symptoms
Nonspecific symptoms like fatigue, coughing, chest pain, and shortness of breath are what define clinical features.[5]
Causes
At least some cases appear to be due to mutations in the eukaryotic translation initiation factor 2-alpha kinase 4 (EIF2AK4) gene.[6]
This condition has been reported in patients with Ehlers Danlos syndrome,[7] and scimitar syndrome.[8]
Diagnosis
Pulmonary artery hypertension, which manifests as enlarged pulmonary arteries, is a common imaging characteristic of pulmonary capillary hemangiomatosis. Additionally, as pulmonary artery hypertension worsens, typical CT imaging findings of right ventricular hypertrophy, leftward interventricular septum bowing, right atrial enlargement, and reflux of IV contrast into the inferior vena cava and hepatic veins can indicate secondary right heart dysfunction.[5]
Treatment
The only definitive treatment for this condition currently is lung transplantation.[5]
Epoprostenol does not appear to be of use.[10]
Epidemiology
The prevalence of this disease is estimated to be < 1/million.[11] The usual age at presentation is between 20 and 40 but it has been reported in the newborn.[12]
History
This condition was first described in 1978.[13]
Outcome
Median survival without treatment is 3 years.[14]
Animals
This condition has been reported in cats.[15] and dogs.[16]
References
- ^ Ortiz-Bautista, Carlos; Hernández-González, Ignacio; Escribano-Subías, Pilar (2017). "Enfermedad venooclusiva pulmonar y hemangiomatosis capilar pulmonar". Medicina Clínica (in Spanish). 148 (6). Elsevier BV: 265–270. doi:10.1016/j.medcli.2016.11.031. ISSN 0025-7753. PMID 28118962.
- ^ Masur Y, Remberger K, Hoefer M (1996). "Pulmonary capillary hemangiomatosis as a rare cause of pulmonary hypertension". Pathol Res Pract. 192 (3): 290–5, discussion 296–9. doi:10.1016/S0344-0338(96)80232-9. PMID 8739476.
- ^ El-Gabaly M, Farver CF, Budev MA, Mohammed TL (2007). "Pulmonary capillary hemangiomatosis imaging findings and literature update". J Comput Assist Tomogr. 31 (4): 608–10. doi:10.1097/01.rct.0000284393.76073.87. PMID 17882042. S2CID 35199069.
- ^ Lantu??joul, Sylvie; Sheppard, Mary N.; Corrin, Bryan; Burke, Margaret M.; Nicholson, Andrew G. (2006). "Pulmonary Veno-occlusive Disease and Pulmonary Capillary Hemangiomatosis". The American Journal of Surgical Pathology. 30 (7): 850–857. doi:10.1097/01.pas.0000209834.69972.e5. PMID 16819327. S2CID 25595167.
- ^ a b c Guzman, Samuel; Khan, Mohammad S.; Chodakiewitz, Yosef; Khan, Maham; Chodakiewitz, Michael S.; Julien, Peter; Luthringer, Daniel J. (2019). "Pulmonary capillary hemangiomatosis: a lesson learned". Autopsy and Case Reports. 9 (3). Editora Cubo: e2019111. doi:10.4322/acr.2019.111. ISSN 2236-1960. PMC 6709648. PMID 31528628.
- ^ Best, D. Hunter; Sumner, Kelli L.; Smith, Benjamin P.; Damjanovich-Colmenares, Kristy; Nakayama, Ikue; Brown, Lynette M.; Ha, Youna; Paul, Eleri; Morris, Ashley; Jama, Mohamed A.; Dodson, Mark W.; Bayrak-Toydemir, Pinar; Elliott, C. Gregory (2017). "EIF2AK4 Mutations in Patients Diagnosed With Pulmonary Arterial Hypertension". Chest. 151 (4). Elsevier BV: 821–828. doi:10.1016/j.chest.2016.11.014. ISSN 0012-3692. PMID 27884767. S2CID 3661564.
- ^ Park, Min A.; Shin, So Youn; Kim, Young Jin; Park, Myung Jae; Lee, Seung Hyeun (2017). "Vascular Ehlers–Danlos syndrome with cryptorchidism, recurrent pneumothorax, and pulmonary capillary hemangiomatosis-like foci". Medicine. 96 (47). Ovid Technologies (Wolters Kluwer Health): e8853. doi:10.1097/md.0000000000008853. ISSN 0025-7974. PMC 5708996. PMID 29381997.
- ^ Güttinger, Eva; Vrugt, Bart; Speich, Rudolf; Ulrich, Silvia; Schwitz, Fabienne; Arrigo, Mattia; Huber, Lars C. (2016). "Reactive Pulmonary Capillary Hemangiomatosis and Pulmonary Veno-Occlusive Disease in a Patient with Repaired Scimitar Syndrome". Case Reports in Cardiology. 2016. Hindawi Limited: 1–5. doi:10.1155/2016/9384126. ISSN 2090-6404. PMID 27069695.
- ^ Ogawa, Aiko; Miyaji, Katsumasa; Matsubara, Hiromi (2017). "Efficacy and safety of long-term imatinib therapy for patients with pulmonary veno-occlusive disease and pulmonary capillary hemangiomatosis". Respiratory Medicine. 131. Elsevier BV: 215–219. doi:10.1016/j.rmed.2017.08.032. ISSN 0954-6111. PMID 28947033.
- ^ S, Akagi; K, Nakamura; H, Matsubara; A, Ogawa; T, Sarashina; K, Ejiri; H, Ito (2015). "Epoprostenol Therapy for Pulmonary Arterial Hypertension". Acta Medica Okayama. 69 (3). Acta Med Okayama: 129–136. doi:10.18926/AMO/53519. ISSN 0386-300X. PMID 26101188. S2CID 25069450.
- ^ Szturmowicz, Monika; Kacprzak, Aneta; Szołkowska, Małgorzata; Burakowska, Barbara; Szczepulska, Ewa; Kuś, Jan (June 30, 2018). "Pulmonary Veno-Occlusive Disease: Pathogenesis, Risk Factors, Clinical Features and Diagnostic Algorithm—State of the Art". Advances in Respiratory Medicine. 86 (3). MDPI AG: 131–141. doi:10.5603/arm.2018.0021. ISSN 2543-6031. PMID 29960280.
- ^ Sposito Cavallo, S. L.; MacIas Sobrino, L. A.; Marenco Altamar, L. J.; Mejía Alquichire, A. F. (February 1, 2017). "Hemangiomatosis capilar pulmonar congénita en un recién nacido". Archivos Argentinos de Pediatria. 115 (1). Sociedad Argentina de Pediatria: e17 – e20. doi:10.5546/aap.2017.e17. ISSN 0325-0075. PMID 28097848.
- ^ WAGENVOORT, C. A.; BEETSTRA, A.; SPIJKER, J. (1978). "Capillary haemangiomatosis of the lungs". Histopathology. 2 (6). Wiley: 401–406. doi:10.1111/j.1365-2559.1978.tb01734.x. ISSN 0309-0167. PMID 730121. S2CID 1187730.
- ^ Ma, Lijiang; Bao, Ruijun (2015). "Pulmonary capillary hemangiomatosis: a focus on the EIF2AK4 mutation in onset and pathogenesis". The Application of Clinical Genetics. 8. Informa UK Limited: 181–188. doi:10.2147/tacg.s68635. ISSN 1178-704X. PMC 4536836. PMID 26300654.
- ^ Jenkins, Tiffany L.; Jennings, Ryan N. (July 28, 2017). "Pulmonary capillary hemangiomatosis and hypertrophic cardiomyopathy in a Persian cat". Journal of Veterinary Diagnostic Investigation. 29 (6). SAGE Publications: 900–903. doi:10.1177/1040638717723686. ISSN 1040-6387. PMID 28754081.
- ^ Reinero, Carol R.; Jutkowitz, L. Ari; Nelson, Nathan; Masseau, Isabelle; Jennings, Samuel; Williams, Kurt (November 29, 2018). "Clinical features of canine pulmonary veno-occlusive disease and pulmonary capillary hemangiomatosis". Journal of Veterinary Internal Medicine. 33 (1). Wiley: 114–123. doi:10.1111/jvim.15351. ISSN 0891-6640. PMC 6335444. PMID 30499214.
.jpg)