Thecoma

Thecoma
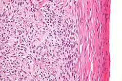
High magnification micrograph of a thecoma. H&E stain.
SpecialtyOncology Edit this on Wikidata

Thecomas or theca cell tumors are benign ovarian neoplasms composed only of theca cells. Histogenetically they are classified as sex cord-stromal tumours.

They are typically estrogen-producing and they occur in older women (mean age 59; 84% after menopause). (They can, however, appear before menopause.[1])

60% of patients present with abnormal uterine bleeding, and 20% have endometrial carcinoma.

Pathologic features

Low magnification micrograph of a thecoma showing compression of the ovarian cortex (right of image). H&E stain.

Grossly, the tumour is solid and yellow.

Grossly and microscopically, it consists of the ovarian cortex.

Microscopically, the tumour cells have abundant lipid-filled cytoplasm.

References

  1. ^ Okada I, Nakagawa S, Takemura Y, et al. (October 2004). "Ovarian thecoma associated in the first trimester of pregnancy". J. Obstet. Gynaecol. Res. 30 (5): 368–71. doi:10.1111/j.1447-0756.2004.00212.x. PMID 15327450. S2CID 28580115.