WikiJournal of Medicine/Ultrasonography of a cervical pregnancy

WikiJournal of Medicine
Open access • Publication charge free • Public peer review • Wikipedia-integrated

WikiJournal of Medicine is an open-access, free-to-publish, Wikipedia-integrated academic journal for Medical and Biomedical topics. <seo title=" WJM, WikiJMed, Wiki.J.Med., WikiJMed, Wikiversity Journal of Medicine, WikiJournal Medicine, Wikipedia Medicine, Wikipedia medical journal, WikiMed, Wikimedicine, Wikimedical, Medicine, Biomedicine, Free to publish, Open access, Open-access, Non-profit, online journal, Public peer review "/>

<meta name='citation_doi' value='10.15347/wjm/2014.011'>

This article has been through public peer review.

Post-publication review comments or direct edits can be left at the version as it appears on Wikipedia.

First submitted:
Accepted:
Reviewer comments


PDF: Download
DOI: 10.15347/wjm/2014.011
QID: Q44276856
XML: Download


Share article
 Email |  Facebook |  Twitter |  LinkedIn |  Mendeley |  ResearchGate

Suggested citation format:
Jesper Agrell (27 November 2014). "Ultrasonography of a cervical pregnancy". WikiJournal of Medicine 1 (2). doi:10.15347/WJM/2014.011. Wikidata Q44276856. ISSN 2002-4436. https://upload.wikimedia.org/wikiversity/en/c/c4/Ultrasonography_of_a_cervical_pregnancy.pdf. 

Citation metrics
AltMetrics
Page views on Wikipedia

Wikipedia: Content from this work is used in the following Wikipedia article: Cervical pregnancy.

License: This is an open access article distributed under the Creative Commons Attribution License, which permits unrestricted use, distribution, and reproduction, provided the original author and source are credited.

Editors:

Mikael Häggström (handling editor) contact

Reviewers: (comments)

Mikael Häggström


Article information

Author: Jesper Agrell[i]

See author information ▼
  1. jesper.agrellAt signlvn.se

Abstract

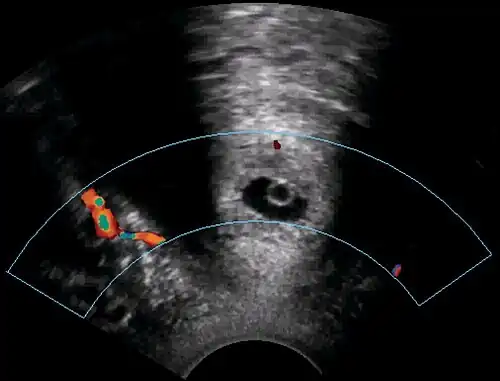
 Ultrasonography of a cervical pregnancy


 Trans-section of the cervix with Doppler ultrasonography, showing that the pregnancy (center) is at the same level as the uterine artery (giving a colored pattern to the right on doppler).



A woman in her 20s came to the gynecologic clinic because of a positive pregnancy test and a history of a previous ectopic pregnancy. The vaginal ultrasonography performed by Dr. Jesper Agrell showed a gestational sac in the cervix as displayed in the sagittal plane. The corpus of the uterus is located at right in the image. There was a discernible heartbeat, and the gestational sac diameter corresponded to a gestational age of 5 weeks. The distance from the gestational sac to the external orifice was only 15 millimeters.


Also available as docx file