Atypical fibroxanthoma

Atypical fibroxanthoma
Other namesAtypical fibrous histiocytoma
Atypical fibroxanthoma
SpecialtyOncology, rheumatology Edit this on Wikidata
SymptomsUlceration or bleeding.[1]
Usual onsetSeventh or eighth decade of life.[1]
Risk factorsSun exposure, old age, and xeroderma pigmentosum.[1]
Diagnostic methodSkin biopsy and immunohistochemical studies.[1]
Differential diagnosisUndifferentiated pleomorphic sarcoma, basal cell carcinoma, squamous cell carcinoma, Merkel cell carcinoma, amelanotic melanoma, pyogenic granuloma, and adnexal tumors.[1]
TreatmentSurgical excision.[1]

Atypical fibroxanthoma (AFX) of the skin is a low-grade malignancy related to pleomorphic dermal sarcoma and undifferentiated pleomorphic sarcoma (malignant fibrous histiocytoma), which it resembles histologically.[2]: 613  Atypical fibroxanthoma manifests as a hard, pink or red papule or nodule that grows over the course of several months and may bleed or ulcerate.

The exact cause of atypical fibroxanthoma is unknown. It may originate from myofibroblasts. Ultraviolet light and sun exposure are most likely risk factors. Atypical fibroxanthoma has also been associated with P53 mutations, TERT promoter mutations, xeroderma pigmentosum, radiation therapy, trauma, and immunosuppression.

Because atypical fibroxanthoma is an uncommon condition that can mimic other disorders, skin biopsy is used to make the diagnosis. Treatment involves surgical excision.

Signs and symptoms

Atypical fibroxanthoma (AFX) often manifests as a single, hard, pink or red papule or nodule that swells over several months and has the potential to bleed or ulcerate.[3][4] Tumors typically have a diameter of less than 2 cm, while they can occasionally be as large as several centimeters.[5] There have been reports of an uncommon pigmented type of AFX.[6][7]

The most frequent locations for AFX are the head and neck. Less frequently occurring tumors of the trunk and extremities may appear as bigger tumors. Sites like the cornea or eyelid are rarely impacted.[8][9]

The majority of AFX tumors don't cause any symptoms. Rarely the lesion may be tender. It is rare to experience pruritus.[5]

Causes

It is unclear what causes atypical fibroxanthomas. It is thought to originate from myofibroblasts or cells that resemble fibroblasts.[10] Since the majority of lesions form on White patients' sun-exposed heads and necks, ultraviolet light appears to be important.[11][5]

In AFX, P53 mutations as well as cyclobutane pyrimidine dimers, UV photoproducts implicated in the development of skin cancer, have been found.[12][13] AFX has been observed in children with xeroderma pigmentosum.[14][15] There have been other hypothesized causes of AFX, such as radiation therapy,[5] immunosuppression,[16] burns,[17] and trauma.[18]

Diagnosis

Since atypical fibroxanthoma is an uncommon disorder that mimics amelanotic melanomas, Merkel cell carcinomas, and basal and squamous cell carcinomas clinically, a skin biopsy is the gold standard for diagnosis.[19]

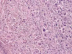
Atypical fibroxanthoma (AFX) is frequently found to have a well-circumscribed, nonencapsulated dermal tumor that is either contiguous with the epidermis or separated from it by a narrow zone of collagen (Grenz zone); plump spindle cells with prominent nuclei, epithelioid cells, and multinucleated giant cells; atypical mitoses and severe cellular pleomorphism; and varying presence of thin or ulcerated epidermis or peripheral epidermal collarette.[9]

Treatment

For atypical fibroxanthoma, surgical excision is the preferred course of treatment. This was done with 1 cm margins in the past, but Mohs micrographic surgery and routine follow-up have become the norm, with recurrence rates ranging from 0.0% to 6.9%.[19]

Epidemiology

Men are more likely to experience AFX than women, and it often affects adults in their seventh or eighth decade of life.[3][20] While AFX can affect people of any ethnicity, non-Hispanic White people have been the majority of those with reported instances.[5] Patients with AFX frequently have a personal history of previous basal cell or squamous cell cancer.[21][11]

See also

References

  1. ^ a b c d e f "UpToDate". UpToDate. Retrieved 2024-04-17.
  2. ^ James, William; Berger, Timothy; Elston, Dirk (2005). Andrews' Diseases of the Skin: Clinical Dermatology. (10th ed.). Saunders. ISBN 0-7216-2921-0.
  3. ^ a b Ziemer, Mirjana (2012-06-19). "Atypical fibroxanthoma". JDDG: Journal der Deutschen Dermatologischen Gesellschaft. 10 (8). Wiley: 537–548. doi:10.1111/j.1610-0387.2012.07980.x. ISSN 1610-0379. PMID 22709412.
  4. ^ Stadler, Franz J.; Scott, Glynis A.; Brown, Marc D. (1998). "Malignant fibrous tumors". Seminars in Cutaneous Medicine and Surgery. 17 (2). Frontline Medical Communications, Inc.: 141–152. doi:10.1016/s1085-5629(98)80007-2. ISSN 1085-5629. PMID 9669607.
  5. ^ a b c d e DF, Fretzin; EB, Helwig (1973). "Atypical fibroxanthoma of the skin. A clinicopathologic study of 140 cases". Cancer. 31 (6): 1541–1552. doi:10.1002/1097-0142(197306)31:6<1541::aid-cncr2820310635>3.0.co;2-6. ISSN 0008-543X. PMID 4709969.
  6. ^ Diaz-Cascajo; Borghi; Bonczkowitz (1998). "Pigmented atypical fibroxanthoma". Histopathology. 33 (6). Wiley: 537–541. doi:10.1046/j.1365-2559.1998.00567.x. ISSN 0309-0167. PMID 9870148.
  7. ^ Diaz-Cascajo, Carlos; Weyers, Wolfgang; Borghi, Susanna (2003). "Pigmented Atypical Fibroxanthoma". The American Journal of Dermatopathology. 25 (1). Ovid Technologies (Wolters Kluwer Health): 1–5. doi:10.1097/00000372-200302000-00001. ISSN 0193-1091.
  8. ^ Kim, Usha R.; Arora, Vipul; Shanti, R; Shah, Akash D. (2009). "Neglected Giant Atypical Fibroxanthoma of the Eyelid". Ophthalmic Plastic & Reconstructive Surgery. 25 (5). Ovid Technologies (Wolters Kluwer Health): 408–409. doi:10.1097/iop.0b013e3181b399c0. ISSN 0740-9303.
  9. ^ a b Engelbrecht, Nicholas E; Ford, Jerry G; White, Wain L; Yeatts, R.Patrick (2000). "Combined intraepithelial squamous neoplasia and atypical fibroxanthoma of the cornea and limbus". American Journal of Ophthalmology. 129 (1). Elsevier BV: 94–96. doi:10.1016/s0002-9394(99)00275-5. ISSN 0002-9394. PMID 10653421.
  10. ^ IORIZZO, LUCIANO J.; BROWN, MARC D. (2011). "Atypical Fibroxanthoma: A Review of the Literature". Dermatologic Surgery. 37 (2). Ovid Technologies (Wolters Kluwer Health): 146–157. doi:10.1111/j.1524-4725.2010.01843.x. ISSN 1076-0512. PMID 21269345.
  11. ^ a b Ang, Gina C.; Roenigk, Randall K.; Otley, Clark C.; Phillips, Kim P.; Weaver, Amy L. (2009). "More Than 2 Decades of Treating Atypical Fibroxanthoma at Mayo Clinic". Dermatologic Surgery. 35 (5). Ovid Technologies (Wolters Kluwer Health): 765–772. doi:10.1111/j.1524-4725.2009.01126.x. ISSN 1076-0512. PMID 19389106.
  12. ^ Sakamoto, Akio; Oda, Yoshinao; Itakura, Eijun; Oshiro, Yumi; Nikaido, Osamu; Iwamoto, Yukihide; Tsuneyoshi, Masazumi (2001). "Immunoexpression of Ultraviolet Photoproducts and p53 Mutation Analysis in Atypical Fibroxanthoma and Superficial Malignant Fibrous Histiocytoma". Modern Pathology. 14 (6). Elsevier BV: 581–588. doi:10.1038/modpathol.3880354. ISSN 0893-3952. PMID 11406660.
  13. ^ AP, Dei Tos; R, Maestro; C, Doglioni; D, Gasparotto; M, Boiocchi; L, Laurino; CD, Fletcher (1994). "Ultraviolet-induced p53 mutations in atypical fibroxanthoma". The American Journal of Pathology. 145 (1). Am J Pathol: 11–17. ISSN 0002-9440. PMC 1887293. PMID 8030743.
  14. ^ Youssef, N.; Vabres, P.; Buisson, T.; Brousse, N.; Fraitag, S. (1999). "Two unusual tumors in a patient with xeroderma pigmentosum: atypical fibroxanthoma and basosquamous carcinoma". Journal of Cutaneous Pathology. 26 (9). Wiley: 430–435. doi:10.1111/j.1600-0560.1999.tb01870.x. ISSN 0303-6987. PMID 10563498.
  15. ^ Shao, Lei; Newell, Brandon; Quintanilla, Norma (2007). "Atypical Fibroxanthoma and Squamous Cell Carcinoma of the Conjunctiva in Xeroderma Pigmentosum". Pediatric and Developmental Pathology. 10 (2). SAGE Publications: 149–152. doi:10.2350/06-06-0103.1. ISSN 1093-5266. PMID 17378688.
  16. ^ Paquet, P.; Piérard, G.E. (1996). "Invasive Atypical Fibroxanthoma and Eruptive Actinic Keratoses in a Heart Transplant Patient". Dermatology. 192 (4). S. Karger AG: 411–413. doi:10.1159/000246435. ISSN 1018-8665. PMID 8864396.
  17. ^ Hiscutt, E.L.; Adams, J.R.; Ryan, J.M.; Langtry, J.A.A.; Natarajan, S. (2009). "Atypical fibroxanthoma, lentigo maligna melanoma and squamous cell carcinoma arising in the site of a thermal burn treated with skin grafts". British Journal of Oral and Maxillofacial Surgery. 47 (2). Elsevier BV: 157–158. doi:10.1016/j.bjoms.2008.08.017. ISSN 0266-4356. PMID 18963287.
  18. ^ Gru, Alejandro A.; Santa Cruz, Daniel J. (2013). "Atypical fibroxanthoma: a selective review". Seminars in Diagnostic Pathology. 30 (1). Elsevier BV: 4–12. doi:10.1053/j.semdp.2012.01.001. ISSN 0740-2570. PMID 23327726.
  19. ^ a b Kolb, Logan; Schmieder, George J. (2022-09-18). "Atypical Fibroxanthoma". StatPearls Publishing. PMID 29083667. Retrieved 2024-04-17.
  20. ^ Wollina, Uwe; Schönlebe, Jaqueline; Ziemer, Mirjana; Friedling, Franziska; Koch, André; Haroske, Gunter; Kaatz, Martin; Simon, Jan-C. (2014-06-20). "Atypical fibroxanthoma: A series of 56 tumors and an unexplained uneven distribution of cases in southeast Germany". Head & Neck. 37 (6). Wiley: 829–834. doi:10.1002/hed.23673. ISSN 1043-3074. PMID 24946737.
  21. ^ SEAVOLT, MARALYN; MCCALL, MICHAEL (2006-03-31). "Atypical Fibroxanthoma: Review of the Literature and Summary of 13 Patients Treated with Mohs Micrographic Surgery". Dermatologic Surgery. 32 (3). Ovid Technologies (Wolters Kluwer Health): 435–441. doi:10.1111/j.1524-4725.2006.32087.x. ISSN 1076-0512. PMID 16640694.

Further reading