Rhabdomyoma
| Rhabdomyoma | |
|---|---|
![]() | |
| Surgically excised cardiac rhabdomyoma (unfixed) | |
| Specialty | Oncology |
A rhabdomyoma is a benign tumor of striated muscle. Rhabdomyomas may be either cardiac or extracardiac (occurring outside the heart). Extracardiac forms of rhabdomyoma are sub-classified into three distinct types: adult type, fetal type, and genital type.
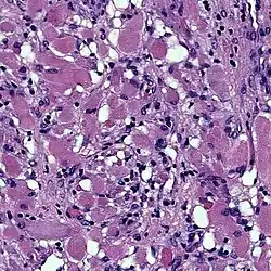
Cardiac rhabdomyomas are the most common primary tumor of the heart in infants and children. It has an association with tuberous sclerosis.[1] In those with tuberous sclerosis, the tumor may regress and disappear completely, or remain consistent in size.[2] A common histological feature is the presence of spider cells, which are cardiac myocytes with enlarged glycogen vacuoles separated by eosinophilic strands, resembling the legs of a spider.
It is most commonly associated with the tongue,[3] and heart,[4] but can also occur in other locations, such as the vagina.[5]
Malignant skeletal muscle tumors are referred to as rhabdomyosarcoma. Only rare cases of possible malignant change have been reported in fetal rhabdomyoma. The differential diagnosis in the tongue includes ectomesenchymal chondromyxoid tumor.[6]
Cardiac Rhabdomyoma
It is much more common to find metastasis from an alternate site than a primary heart tumor.[7] However, primary cardiac tumors do occur. One of these is the cardiac rhabdomyoma. Approximately 80-90% of these tumors are found in patients with tuberous sclerosis, a genetic condition causing multiple tumors, with most found prior to the age of one.[8] Although these tumors are most commonly treated with resection, symptomatic tumors in fetuses have been shown to decrease in size after maternal sicrolimus administration.[9] If clinically silent, they can be watched with routine imaging as the tumor will likely spontaneously regress.[2]
Clinical Picture
The specific clinical picture of a patient with a cardiac rhabdomyoma is determined by its location in the heart.[10] However, if symptomatic, most patients will present with heart failure or an arrhythmia such as ventricular tachycardia or heart block.[11] The severity of the symptoms will vary based on the size of the mass.
Detection

Cardiac rhabdomyomas are usually found in the ventricular walls or on the valves of the heart. With imaging techniques such as ultrasound and magnetic resonance imaging (MRI), these tumors are being detected with increased frequency and even in the prenatal period. Routine surveillance of children with tuberous sclerosis for cardiac rhabdomyoma or other cardiovascular manifestations of their disease may include electrocardiogram (EKG) and echocardiography.[12]
Additional images
References
- ^ Bader RS, Chitayat D, Kelly E, et al. (November 2003). "Fetal rhabdomyoma: prenatal diagnosis, clinical outcome, and incidence of associated tuberous sclerosis complex". J. Pediatr. 143 (5): 620–4. doi:10.1067/S0022-3476(03)00494-3. PMID 14615733.
- ^ a b Smythe, John F.; Dyck, John D.; Smallhorn, Jeffrey F.; Freedom, Robert M. (November 1990). "Natural history of cardiac rhabdomyoma in infancy and childhood". The American Journal of Cardiology. 66 (17): 1247–1249. doi:10.1016/0002-9149(90)91109-j. ISSN 0002-9149. PMID 2239731.
- ^ Pérez-Alonso P, Sánchez-Simón R, Contreras F, Patrón-Romero M (December 2000). "Special feature: pathological case of the month. Denouement and discussion: fetal rhabdomyoma of the tongue (myxoid type)". Arch Pediatr Adolesc Med. 154 (12): 1265–6. doi:10.1001/archpedi.154.12.1265. PMID 11115314.
- ^ Sugiyama H, Naito H, Tsukano S, Echigo S, Kamiya T (November 2005). "Evaluation of cardiac tumors in children by electron-beam computed tomography: rhabdomyoma and fibroma". Circ. J. 69 (11): 1352–6. doi:10.1253/circj.69.1352. PMID 16247210.
- ^ Edward F. Goljan (2009). Pathology (Third ed.). Elsevier. p. 537.
Tumour Type: Rhabdomyoma; Location: Heart, also tongue and vagina; Comment: Benign heart tumour associated with tuberous sclerosis
- ^ Smith BC, Ellis GL, Meis-Kindblom JM, Williams SB (May 1995). "Ectomesenchymal chondromyxoid tumor of the anterior tongue. Nineteen cases of a new clinicopathologic entity". Am J Surg Pathol. 19 (5): 519–30. doi:10.1097/00000478-199505000-00003. PMID 7726361. S2CID 21161742.
- ^ Salcedo, E (February 1992). "Cardiac tumors: Diagnosis and management". Current Problems in Cardiology. 17 (2): 77–137. doi:10.1016/0146-2806(92)90025-J. PMID 1735241.
- ^ MDa, Maurice Beghetti; Gow, Robert M.; Haney, Isabel; Mawson, John; Williams, William G.; Freedom, Robert M. (December 1997). "Pediatric primary benign cardiac tumors: A 15-year review". American Heart Journal. 134 (6): 1107–1114. doi:10.1016/S0002-8703(97)70032-2. PMID 9424072.
- ^ Duan, Menghao; Sundararaghavan, Sreekanthan; Koh, Ai Ling; Soh, Shui Yen (March 2022). "Neonatal rhabdomyoma with cardiac dysfunction: favourable response to sirolimus". BMJ Case Reports. 15 (3): e244915. doi:10.1136/bcr-2021-244915. ISSN 1757-790X. PMC 8948400. PMID 35332001.
- ^ Vander Salm, Thomas J. (April 2000). "Unusual Primary Tumors Of The Heart". Seminars in Thoracic and Cardiovascular Surgery. 12 (2): 89–100. doi:10.1053/ct.2000.5080. PMID 10807431.
- ^ Jacobs, Jeffrey P.; Konstantakos, Anastasios K.; Holland, Fred W.; Herskowitz, Kenneth; Ferrer, Peter L.; Perryman, Richard A. (November 1994). "Surgical treatment for cardiac rhabdomyomas in children". The Annals of Thoracic Surgery. 58 (5): 1552–1555. doi:10.1016/0003-4975(94)91963-1. PMID 7979700.
- ^ Northrup, Hope; Aronow, Mary E.; Bebin, E. Martina; Bissler, John; Darling, Thomas N.; de Vries, Petrus J.; Frost, Michael D.; Fuchs, Zoë; Gosnell, Elizabeth S.; Gupta, Nishant; Jansen, Anna C.; Jóźwiak, Sergiusz; Kingswood, J. Chris; Knilans, Timothy K.; McCormack, Francis X. (October 2021). "Updated International Tuberous Sclerosis Complex Diagnostic Criteria and Surveillance and Management Recommendations". Pediatric Neurology. 123: 50–66. doi:10.1016/j.pediatrneurol.2021.07.011. PMID 34399110.
